Ο οφθαλμίατρος Βασίλειος Σκουτέρης ενημερώνει και προειδοποιεί για τα ανησυχητικά συμπτώματα που φανερώνουν καταρράκτη και μέσα σε αυτά είναι και η θολή όραση στην βραδινή οδήγηση.
Ο καταρράκτης είναι μία κοινή πάθηση που προκύπτει τις περισσότερες φορές με την πάροδο του χρόνου. Παρόλα αυτά λίγοι είναι εκείνοι που ξέρουν τα συμπτώματα του καταρράκτη και ο οφθαλμίατρος Βασίλειος Σκουτέρης εξηγεί με κάθε λεπτομέρεια τα συμπτώματα που πρέπει να μας ανησυχήσουν και πότε η θολή όραση σημαίνει ότι πρέπει να κλείσουμε άμεσα ραντεβού με γιατρό.
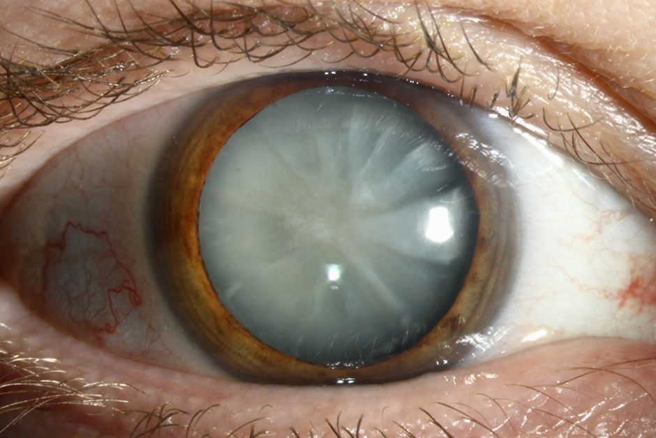
Δες γιατί αν θολώνουν τα μάτια σου μπορεί να έχεις καταρράκτη
Τι είναι ο καταρράκτης;
Ο καταρράκτης είναι μια πολύ συχνή πάθηση του ματιού. Με την πάροδο της ηλικίας ο φακός που έχουμε μέσα στο μάτι μας υφίσταται αλλαγές που τον κάνουν λιγότερο διαυγή. Όταν ο φακός αυτός γίνει θολός τότε λέμε ότι υπάρχει καταρράκτης. Με τον καιρό ο καταρράκτης επιδεινώνεται και η όραση γίνεται θολότερη.

Σε ποια ηλικία εμφανίζεται ο καταρράκτης στα μάτια;
Ο μέσος όρος της ηλικίας στην οποία ο καταρράκτης ματιών επηρεάζει σημαντικά την όραση είναι η ηλικία των 65 με 70 ετών, χωρίς όμως αυτό να σημαίνει ότι δεν μπορεί να εμφανιστεί νωρίτερα ή αργότερα. Σε σπάνιες περιπτώσεις μπορεί να υπάρχει θόλωση του φακού από τη νεανική ηλικία και τότε μιλάμε για νεανικό καταρράκτη.
Ποια είναι τα αίτια του καταρράκτη;
Με μεγάλη διαφορά η συχνότερη αιτία για την οποία εμφανίζεται ο καταρράκτης στα μάτια είναι η ηλικία. Υπάρχουν όμως και άλλες καταστάσεις οι οποίες στην ουσία επιταχύνουν την εξέλιξη του καταρράκτη. Μια από αυτές είναι ο σακχαρώδης διαβήτης, αλλά και κάποια φάρμακα, με κυριότερα τα στεροειδή. Ορισμένες επεμβάσεις στο μάτι καθώς και πιθανοί τραυματισμοί μπορούν να επιταχύνουν την εξέλιξη του καταρράκτη.
Τι αισθάνεται ένας ασθενής με καταρράκτη και ποια είναι τα συμπτώματα;
Ο καταρράκτης δεν πονάει και δεν ενοχλεί κατά κανέναν άλλο τρόπο παρά μόνο με την προοδευτική θόλωση της όρασης που προκαλεί. Εξελίσσεται αργά και συνήθως συνυπάρχει με ξεθώριασμα των χρωμάτων. Κάποια από τα χαρακτηριστικά συμπτώματα που έχει ο καταρράκτης και αποτελεί το πρώτο πράγμα για το οποίο παραπονούνται οι ασθενείς είναι η ενόχληση από τα έντονα φώτα.

Χαρακτηριστικό είναι το θάμπωμα που δημιουργούν τα φώτα από τα διερχόμενα αυτοκίνητα τη νύχτα. Αυτός είναι και ο λόγος που οι επαγγελματίες οδηγοί ή άνθρωποι που οδηγούν συχνά τη νύχτα χειρουργούνται σε μικρότερη ηλικία προκειμένου να είναι ασφαλείς. Άλλο πάλι συχνό σύμπτωμα είναι η παρουσία δεύτερου ειδώλου ή μίας σκιάς, ακριβώς δίπλα στο αντικείμενο που βλέπουμε και η οποία παραμένει ακόμα και όταν έχουμε το ένα μάτι ανοιχτό.
Με λίγα λόγια τα συμπτώματα είναι:
- ξεθώριασμα των χρωμάτων
- ενόχληση από τα έντονα φώτα
- θάμπωμα από φώτα
- βλέπουν σκιές δίπλα στο αντικείμενο που υπάρχει στο οπτικό μας πεδίο
Καταρράκτης και Θεραπεία
Είμαστε ευτυχείς που η θεραπεία του καταρράκτη έχει πλέον απλοποιηθεί σημαντικά. Σε μια επέμβαση που διαρκεί κατά μέσο όρο 10 με 20 λεπτά κάνουμε μια μικροσκοπική τομή, αφαιρούμε τον θολό φακό και στη θέση του βάζουμε έναν καινούργιο διαυγή. Ο φακός αυτός έχει τη δυνατότητα να διορθώσει και μυωπία/υπερμετρωπία/αστιγματισμό, δίνοντας στον ασθενή τη δυνατότητα να μη φοράει γυαλιά για μακριά μετά το τέλος της επέμβασης.

Σε ποιες περιπτώσεις ο καταρράκτης απαιτεί να γίνει επέμβαση;
Στη θεραπεία προχωράμε μόνο όταν ο άνθρωπος αισθανθεί ότι η όρασή του έχει μειωθεί σημαντικά. Εφόσον, η όραση είναι ικανοποιητική και δεν υπάρχει άλλο παθολογικό εύρημα δεν χρειάζεται να υποβληθεί σε επέμβαση για τον καταρράκτη.
Οι περισσότεροι ασθενείς οδηγούνται στον ιατρό και ζητάνε μία λύση όταν ο καταρράκτης αρχίζει να επηρεάζει σημαντικά την καθημερινότητά τους και τότε θα χρειαστεί επέμβαση. Υπάρχουν βέβαια και περιπτώσεις στις οποίες ο ασθενής, λόγω της πολύ βραδείας μείωσης της όρασης, δεν αντιλαμβάνεται ότι η όρασή του έχει μειωθεί σημαντικά. Σε τέτοιες καταστάσεις ο ασθενής ενημερώνεται από τον ιατρό τι ποσοστό της όρασης έχει χαθεί με βάση την κλίμακα του Snellen, δηλαδή στον πίνακα στον οποίο του ζητάμε να διαβάζει τα νούμερα.
Επέμβαση
Ο φυσικός φακός του ματιού μας όσο προχωράει ο καταρράκτης εκτός από πιο θολός γίνεται και πιο σκληρός. Αυτό σημαίνει ότι η ενέργεια που θα χρειαστεί για να τον αφαιρέσουμε γίνεται μεγαλύτερη άρα και η επιβάρυνση του ματιού γίνεται προοδευτικά όλο και μεγαλύτερη.
Έτσι, σε ορισμένες παθήσεις λόγω των οποίων η επέμβαση ενδέχεται να είναι λίγο πιο περίπλοκη, υπάρχει η σύσταση η αφαίρεση του καταρράκτη να γίνεται νωρίτερα. Συχνότερες τέτοιες παθήσεις είναι ο σακχαρώδης διαβήτης, κάποιες μορφές γλαυκώματος, το σύνδρομο ψευδοαποφολίδωσης αλλά και κάποιοι ιδιαίτεροι τύποι καταρράκτη.
Ένα από τα πολύ ευαίσθητα σημεία της επέμβασης είναι ο προεγχειρητικος έλεγχος. Ο πλήρης και ενδελεχής προεγχειρητικός έλεγχος μάς εξασφαλίζει την καλή έκβαση του χειρουργείου. Αυτό που οφείλει να αποφύγει κανείς είναι να τρίψει ή να ρίξει νερό στα μάτια του για τις πρώτες 7 ημέρες.
Σημαντική είναι επίσης και η σωστή χρήση των αντιβιοτικών κολλυρίων όπως αναγράφεται στις μετεγχειρητικές οδηγίες που του προμηθεύουμε. Αυτός είναι και ο χρόνος που απαιτείται για να αντιληφθεί ο ασθενής τη σημαντική βελτίωση στην όρασή του, αν και στις περισσότερες περιπτώσεις αυτή είναι εμφανής ήδη από την πρώτη ημέρα.
Γράφει ο Οφθαλμίατρος Σκουτέρης Βασίλειος
Φωτογραφία εξωφύλλου: Via pexels.com
Σχετικά άρθρα:
- Αυτό είναι το ελληνικό μπαχαρικό που προστατεύει τα μάτια απο 90 παθήσεις!
- Πόνος στα μάτια και θολή όραση: Ποια είναι η φλεγμονή που προκαλεί τύφλωση και ποια τα συμπτώματα της.
- Βλεφαρόπτωση: Τι προκαλεί την πάθηση που χτυπά όλο και περισσότερες γυναίκες -Ποια είναι η θεραπεία
Εσύ γνώριζες αυτές τις πληροφορίες για τον καταρράκτη; Πες μας στα σχόλια.
Όλα τα άρθρα για την υγεία στο daddy-cool.gr
Απαγορεύεται η αναδημοσίευση του άρθρου χωρίς την γραπτή άδεια από τον εκδότη.