Οι περισσότερες δερματοπάθειες εμφανίζονται κυρίως το καλοκαίρι, λόγω της αυξημένης επαφής του δέρματος με μολυσμένες επιφάνειες. Ποικιλόχρους πιτυρίαση, καντιντιάσεις και μυρμηγκιές, είναι οι κίνδυνοι που κρύβονται σε παραλίες, πισίνες και σπα. Δείτε ποιες είναι οι πρώτες βοήθειες για τις όλες τις καλοκαιρινές παθήσεις του δέρματος.
Οι παθήσεις του δέρματος είναι πολύ πιο συχνές το καλοκαίρι, καθώς το μεγαλύτερο όργανο του σώματος είναι πολύ περισσότερο εκτεθειμένο σε πολλούς παράγοντες που μπορούν να προκαλέσουν λοιμώξεις.

Ηλιακή Κνίδωση: Τι είναι ποια τα συμπτώματα και ποια η θεραπεία
Το δέρμα του ανθρώπου, παρά τις μεγάλες δυνατότητες άμυνας στις επιθέσεις που δέχεται, συχνά δεν μπορεί να αποφύγει τις λεγόμενες καλοκαιρινές δερματοπάθειες. Δείτε αναλυτικά ποιες είναι αυτές και πώς αντιμετωπίζονται.
Δερματοπάθεια από πισίνα ή σπα
Ο μεγαλύτερος κίνδυνος υπάρχει όταν το νερό στα σπα ή στις πισίνες είναι πολύ ζεστό.
Οι δερματοπάθειες αυτές εκδηλώνονται με εξανθήματα (φυσαλίδες, κηλίδες κ.ά.) και όχι με κοκκινίλες στο δέρμα.
Εμφανίζονται στον λαιμό, στις μασχάλες, στα χέρια και τα πόδια και στους γλουτούς.
Αν το νερό έχει χλώριο και είναι ζεστό τότε εκδηλώνονται:
Ξηρότητα Φαγούρα Κοκκινίλες
Ουρολοίμωξη σε έξαρση το καλοκαίρι: Ποια τα αίτια ποια τα συμπτώματα και ποια η θεραπεία

Τι πρέπει να κάνετε
Ξεπλένετε με χλιαρό νερό και σαπούνι με βρόμη Απλώνετε στο σημείο ενυδατική κρέμα με βρόμη και ουρία Αν επιμείνει για περισσότερο από μία εβδομάδα, θα πρέπει να επισκεφθείτε γιατρό ώστε να εξακριβώσει τι ακριβώς συμβαίνει και να σας προτείνει την κατάλληλη αγωγή.

Δερματικές μυκητιάσεις
Σε γενικές γραμμές, οι δερματικές μυκητιάσεις του καλοκαιριού χωρίζονται σε τρεις βασικές κατηγορίες ανάλογα με με τους μύκητες που τις προκαλούν. Αυτές είναι τα δερματόφυτα, η ποικιλόχρους πιτυρίαση και οι καντιντιάσεις.
Τα δερματόφυτα προσβάλλουν το δέρμα οπουδήποτε στο σώμα και τα νύχια, ενώ ειδικά στα παιδιά προσβάλλουν μέχρι και το κεφάλι προκαλώντας απώλεια μαλλιών. Οι μύκητες αυτοί υπάρχουν στο χώμα και στα κατοικίδια ζώα.
Ναυτία του κλιματιστικού: Η νόσος του παρατεταμένου καύσωνα Ποια τα συμπτώματα και πως να προστατευτείτε
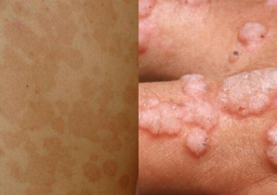
Η ποικιλόχρους πιτυρίαση εμφανίζεται στον κορμό, στον λαιμό και ψηλά στα μπράτσα. Το κύριο χαρακτηριστικό της είναι ότι αλλάζει χρώμα: το καλοκαίρι μοιάζει με λευκές κηλίδες στο μαυρισμένο δέρμα και τον χειμώνα με καφετιές κηλίδες στο λευκό δέρμα.
Εκδηλώνεται συχνότερα το καλοκαίρι επειδή ένας βασικός τρόπος μετάδοσής της είναι από την άμμο της παραλίας.
Οι καντιντιάσεις οφείλονται στον ομώνυμο μύκητα (λέγεται κάντιντα) ο οποίος λατρεύει την υγρασία και τη ζέστη. Γι’ αυτό και είθισται να «κουρνιάζει» στα σημεία του σώματος που έχουν πτυχές (κάτω από τους μαστούς, τις περιοχές ανάμεσα στα δάχτυλα, τις μασχάλες κ.λπ.)
Ειδικά στους άνδρες, το σημείο του σώματος που συχνά δεινοπαθεί το καλοκαίρι από τους μύκητες είναι τα πόδια.
Η συχνότερη μυκητίαση που αναπτύσσεται στα πόδια είναι το «πόδι των αθλητών», που οφείλεται σε μόλυνση είτε από κάντιντα είτε από δερματόφυτο. Η μυκητίαση αυτή συνήθως αναπτύσσεται ανάμεσα στα δάχτυλα.
Η νόσος των ταξιδιωτών: Ποια είναι η πιο συχνή ασθένεια των διακοπών ποια τα συμπτώματα και ποια η θεραπεία

Τι πρέπει να κάνετε
1. Να κάνετε καθημερινά μπάνιο ώστε να διατηρείται το δέρμα σας καθαρό και να σκουπίζεστε καλά, ιδίως ανάμεσα στα δάχτυλα και όπου έχει πτυχές το δέρμα σας
2. Να φοράτε καθαρά ρούχα και να αλλάζετε καθημερινά εσώρουχα
3. Να μην περπατάτε ποτέ ξυπόλητοι σε κοινόχρηστους χώρους, ιδίως γύρω από τις πισίνες και στην άμμο της παραλίας
4. Να μην κάθεστε ποτέ κατάχαμα στους χώρους γύρω από την πισίνα ή στην άμμο της παραλίας
5. Να βάζετε μια ψάθα και την πετσέτα σας στις ξαπλώστρες
6. Να πλένετε καθημερινά με σαπούνι και νερό το μαγιό και τις πετσέτες που χρησιμοποιείτε στην πισίνα ή στη θάλασσα
7. Να μη φοράτε κάθε μέρα τα ίδια παπούτσια. Μέρα παρά μέρα μπορείτε να φοράτε το ίδιο ζευγάρι
8 Εάν ιδρώνουν τα πόδια σας, καλό είναι να φοράτε κάλτσες και το καλοκαίρι
Χρόνια και οξεία αυπνία: Ποια τα αίτια που την προκαλούν και ποια η θεραπεία

9. Αν φοράτε κάλτσες, να τις αλλάζετε δύο φορές την ημέρα
10. Εάν ιδρώνετε πάρα πολύ, να χρησιμοποιείτε ειδικά αφιδρωτικά αποσμητικά και να συμβουλευτείτε έναν δερματολόγο για τυχόν ειδικές προφυλάξεις ή αγωγή που πρέπει να κάνετε (μπορεί λ.χ. να σας συστήσει να χρησιμοποιείτε σποραδικά ειδικές λοσιόν ή να χρησιμοποιείτε καθημερινά απορροφητικά σκευάσματα με μορφή πούδρας)
11. Εάν πρόκειται να μείνετε σε ξενοδοχείο, πάρτε μαζί δικές σας παντόφλες ή βεβαιωθείτε ότι υπάρχουν παντόφλες μίας χρήσης
12. Εάν πάσχετε από διαβήτη, φροντίστε να ρυθμίζετε καλά το σάκxαρό σας (οι μυκητιάσεις ευνοούνται όταν είναι αρρύθμιστο)
13. Στο σπίτι, για να μειώσετε τον κίνδυνο μυκητιάσεων, φροντίστε να απολυμαίνετε συστηματικά με χλώριο τα είδη υγιεινής (μην ξεχνάτε την μπανιέρα, την οποία θα πρέπει να γεμίζετε με νερό και χλωρίνη και να την αφήνετε κάποιες ώρες εάν κάνετε και αφρόλουτρο). Καλό είναι επίσης να αφήνετε τα παπούτσια σας έξω από το σπίτι και να φοράτε αμέσως παντόφλες, αφού ό,τι υπάρχει στο χώμα μεταφέρεται με τα παπούτσια όπου πατήσετε
14. Αν επιμείνουν, επισκεφθείτε γιατρό για να σας προτείνει θεραπεία.
Εξάψεις που δεν είναι από την ζέστη: Ποια είναι τα αίτια που τις προκαλούν και πως να τις αντιμετωπίσετε

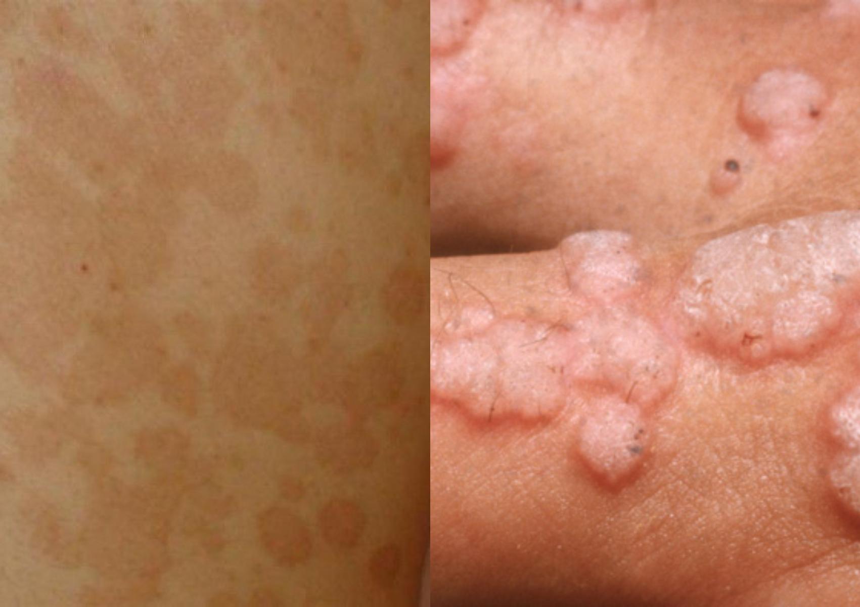
Μυρμηγκιές στα πέλματα
Είτε στην παραλία είτε σε οποιονδήποτε χώρο όπως είναι οι περιοχές γύρω από την πισίνα περπατάμε χωρίς υποδήματα μπορεί να εκδηλωθούν μυρμηγκιές.
Οι μυρμηγκιές αυτές οφείλονται σε ειδικούς τύπους ιών των πελμάτων και μοιάζουν με κάλους και ίσως δεν μπορούμε να τις ξεχωρίσουμε.
Εκδηλώνονται με σκλήρυνση του δέρματος τοπικά (σαν σκληρό γρομπαλάκι).
Οι αρρώστιες που μεταδίδουν τα κουνούπια: Πως να τα διώξετε
Εάν αναπτυχθούν αρκετά, μπορεί να προκαλέσουν πόνο κατά τη βάδιση.
Πρέπει να αφαιρούνται από δερματολόγο με λέιζερ ή με νυστέρι, σύμφωνα με το www.news247.gr διότι μπορεί αν μεγαλώσουν να προκαλέσουν προβλήματα στη βάδιση.