Η ζωγραφική είναι ένα από τα πιο αθώα και συνηθισμένα παιχνίδια των παιδιών, αλλά οι περισσότεροι δεν συνειδητοποιούμε τους ενδεχόμενους κινδύνους που μπορεί να κρύβει αυτή η δραστηριότητα. Φανταστείτε την αγωνία και τον τρόμο των γονιών, όταν είδα ότι το μολύβι με το οποίο ζωγράφιζε η κόρη τους καρφώθηκε στο μάτι της και τρύπησε τον εγκέφαλό της.
Η 2 ετών Γρεν Μπάουελ ζωγράφιζε στο δωμάτιό της και πήγε τρέχοντας στους γονείς της για να τους δείξει την ζωγραφιά της. Καθώς έτρεχε, γλίστρησε, έπεσε και το μολύβι που κρατούσε στο χέρι της καρφώθηκε στο μάτι της.
Η 2χρονη Γρεν Μπάουελ έπεσε και το μολύβι που κρατούσε στο χέρι της τρύπησε το μάτι της.

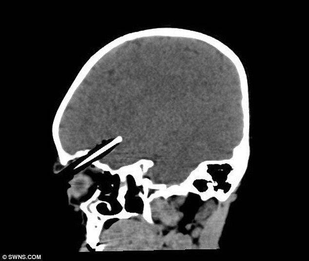
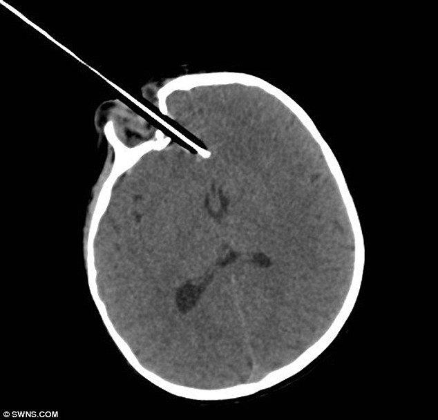
Αμέσως μεταφέρθηκε στο νοσοκομείο με το μολύβι ακόμα στο μάτι της.

Οι ακτινογραφίες έδειξαν ότι το τραύμα ήταν πολύ σοβαρό και απαιτούνταν η παρέμβαση ενός ειδικού.

«Ένα σπασμένο κόκαλο είναι αρκετά κακό, αλλά όταν συμβαίνει κάτι στο μάτι, στο κεφάλι ή τον εγκέφαλο είναι ένα από τα χειρότερα πράγματα που μπορεί να συμβούν», ανέφερε ο πατέρας της μικρής.
Ευτυχώς, η μητέρα της 2χρονης είναι νοσοκόμα και ήξερε ότι δεν έπρεπε να αφαιρέσει το μολύβι. Στο νοσοκομείο κατάλαβαν ότι η κατάστασή της ήταν σοβαρή και αποφάσισαν την μεταφορά της σε ένα άλλο νοσοκομείο για να την εξετάσει κάποιος νευροχειρουργός.
«Το μολύβι ήταν ένα χιλιοστό μακριά από το να χτυπήσει ένα μεγάλο αιμοφόρο αγγείο στον εγκέφαλο. Η μικρή ήταν πολύ τυχερή που γλίτωσε χωρίς μεγάλη αιμορραγία», ανέφερε ο νευροχειρουργός Ίαν Πόπλ.
Επίσης, σύμφωνα με τον Πόπλ το μολύβι δεν τραυμάτισε τον βολβό του ματιού.

Οι νευροχειρουργοί την εγχείριζαν για πολλές ώρες για να καταφέρουν να της σώσουν την ζωή.

Οι γιατροί έπρεπε να της αφαιρέσουν μέρος του κρανίου της για να μπορέσουν να κάνουν την επέμβαση.
Μετά την επέμβαση, η μικρή έπρεπε να μείνει 3 εβδομάδες στο νοσοκομείο πριν μπορέσει να επιστρέψει στο σπίτι με την οικογένειά της.
Caters News
Η μικρή έπρεπε να πάρει φάρμακα κατά της κατάσχεσης ως προληπτικό μέτρο, αλλά τώρα είναι καλά.
Caters News
Caters News