ΓΥΝΑΙΚΑ 20.09.24 Σκασμένες φτέρνες : Φυσική θεραπεία για να τις ενυδατώσετε και να γίνουν πάλι μαλακές
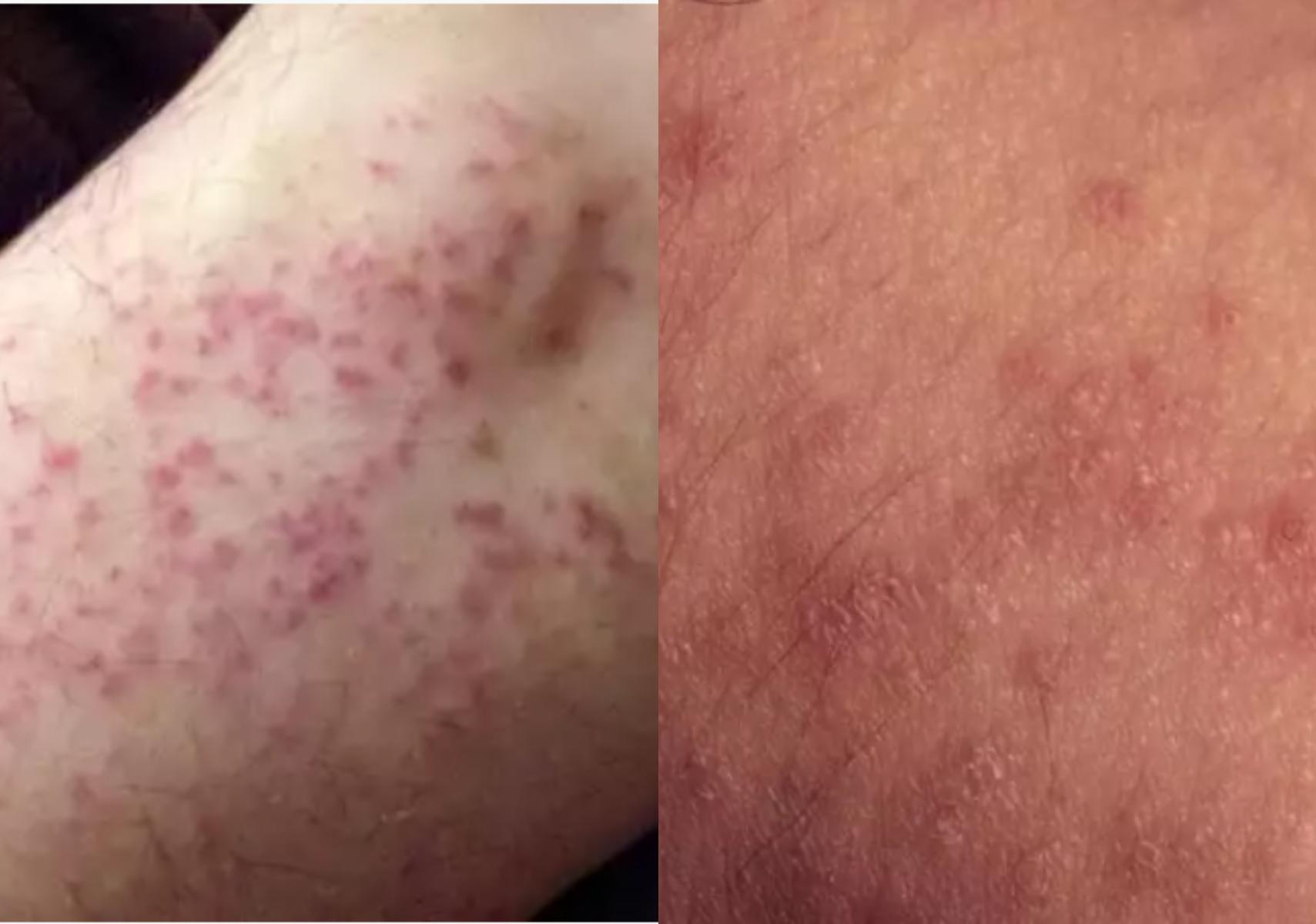
ΥΓΕΙΑ 02.08.24 Παρασιτική κνήφη: H πιο συχνή δερματοπάθεια το καλοκαίρι- Τι είναι και πως αντιμετωπίζεται
ΓΥΝΑΙΚΑ 26.06.24 Σκασμένες φτέρνες με ραγάδες και ξηροδερμία: Η σπιτική θεραπεία που θα τις κάνει να μοιάζουν βελούδινες
ΥΓΕΙΑ 13.06.24 Μυρμηγκιές: Τι είναι ποια τα συμπτώματα και ποια η θεραπεία ενός από τους πιο συχνούς ιούς του καλοκαιριού
ΥΓΕΙΑ 30.05.24 Demodex ή Δεμόδικας: Τα αόρατα αραχνοειδή ακάρεα που ζουν στο πρόσωπό μας και τα προβλήματα υγείας που προκαλούν
ΓΥΝΑΙΚΑ 28.05.24 Φωτογήρανση: Οι συνέπειές της στο δέρμα και anti-aging tips από την Δερματολόγο Δρ Αμαλία Τσιατούρα
ΓΥΝΑΙΚΑ 25.05.24 Μπορούμε να χρησιμοποιήσουμε το περσινό αντηλιακό; – Τι σημαίνουν τα φίλτρα UVA UVB και SPF; – Πλήρης οδηγός για όσα πρέπει να γνωρίζετε
ΥΓΕΙΑ 14.05.24 Ηλιοθεραπεία και καρκίνος του Δέρματος: Ποια τα συμπτώματα τα στάδια και πως να προστατευτείτε
ΣΠΙΤΙ 01.03.24 Λάσπες τσακίσματα και θάμπωμα στις δερμάτινες μπότες: Πως να τις καθαρίσεις και να τις κάνεις σαν καινούριες
ΣΠΙΤΙ 20.02.24 Λαδιές μελάνι και δύσκολοι λεκέδες στα δερμάτινα έπιπλα: Πως να τα κάνετε σαν καινούρια
ΓΥΝΑΙΚΑ 20.10.23 Ρυτίδες κηλίδες και παραπανίσια κιλά από την Εμμηνόπαυση : 11 Τρόποι να διατηρήσετε φρέσκια την επιδερμίδα σας
ΓΥΝΑΙΚΑ 23.09.23 Πυρίτιο: Ένα φυσικό συστατικό για υγιές δέρμα λαμπερά μαλλιά και δυνατά νύχια – Ο αρχιτέκτονας του ανθρώπινου οργανισμού