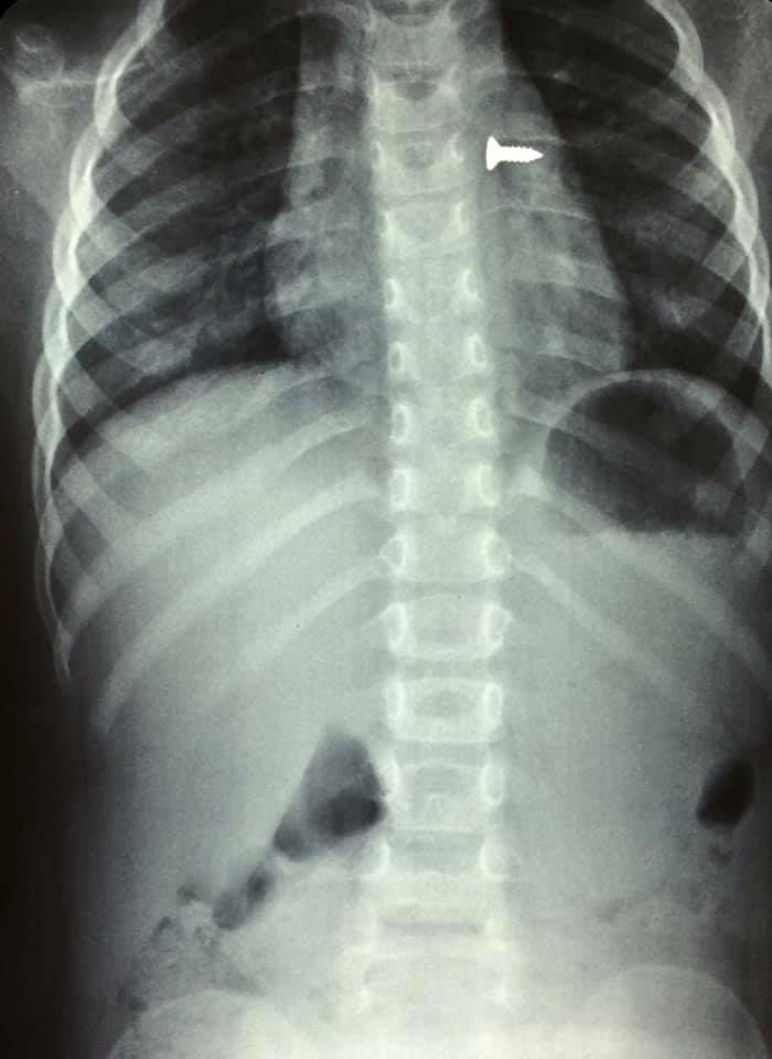
Η βίδα κατέληξε στον αριστερό πνεύμονά του Κòριτσιού και χρειάστηκε επείγουσα χειρουργική επέμβαση.
Σύμφωνα με τον αναπληρωτή καθηγητή ΩΡΛ της Ιατρικής Σχολής Κρήτης, Μανώλη Προκοπάκη το κòρίτσι μεταφέρθηκε στο νοσοκομείο χθες. Το τρίχρονο παιδί είχε καταπιεί μια βίδα.
Δείτε επίσης : Σεισμός τώρα : Έντονα αισθητός στην Εύβοια

Την ίδια στιγμή έγιναν ακτινογραφίες οι οποίες έδειξαν πως η βίδα είχε ήδη φθάσει στον αριστερό πνεύμονα του παιδιού. Αμέσως οι γιατροί ξεκίνησαν χειρουργείο και κατάφεραν να αφαιρέσουν την βίδα.
Δείτε την ανάρτηση του κ. Προκοπάκη.
Πολύ επείγον χειρουργείο! Πριν από λίγο. Αφαίρεση βίδας από αριστερό βρογχικό δέντρο τρίχρονου κοριτσιού. Πολύ επικίνδυνο…
Δημοσιεύτηκε από Emmanuel Prokopakis στις Τρίτη, 1 Δεκεμβρίου 2020