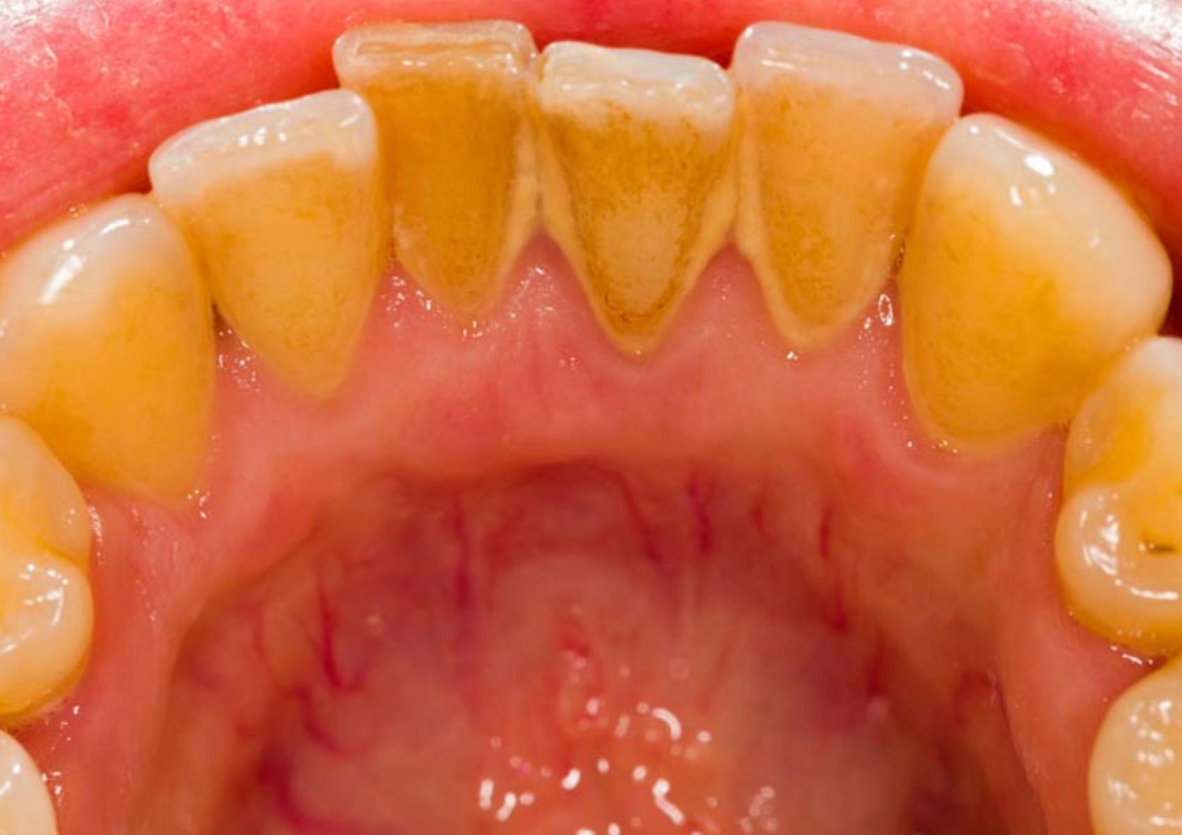
Τα δόντια για πολλούς λόγους μπορεί να κιτρινίσουν να αποκτήσουν πλάκα και πέτρα με αποτέλεσμα το στόμα να μυρίζει άσχημα. Δείτε πως να φτιάξτε φυσικό στοματικό διάλυμα, που θα κάνει τα δόντια σας ολόλευκα, θα εξαφανίσει την δυσοσμία και έτσι θα έχετε και πάλι ένα λαμπερό χαμόγελο.

Τσίμπημα σφήκας: 10 Σπιτικοί Τρόποι για να το αντιμετωπίσετε και να ανακουφίσετε τον πόνο
Τα στοματικά διαλύματα είναι από τα προϊόντα με τις μεγαλύτερες πωλήσεις για τα δόντια και υπόσχονται αφαίρεση πλάκας και λευκότερα δόντια σε εβδομάδες, εάν χρησιμοποιούνται δύο φορές την ημέρα. Κάτι που είναι απόλυτα λογικό.
Οι οδοντίατροι συνιστούν να βουρτσίζουμε τα δόντια μας μετά από κάθε γεύμα, αν και για να είμαστε ειλικρινείς, αυτό είναι απλά αδύνατο όλη την ώρα. Τα στοματικά διαλύματα έλυσαν αυτό το πρόβλημα, αφαιρώντας την πλάκα και εξαλείφοντας τα βακτήρια που προκαλούν κακοσμία και χειρότερα.
Ωστόσο, αυτό δεν σημαίνει ότι είναι απολύτως υγιεινά για τα δόντια μας. Στην πραγματικότητα, ορισμένες μάρκες μπορεί να βλάψουν το σμάλτο και να ανοίξουν την πόρτα για πολλά στοματικά προβλήματα. Τα καλά νέα είναι ότι υπάρχει ένα απλό φυσικό στοματικό διάλυμα που μπορείτε να φτιάξετε στο σπίτι που λειτουργεί όπως τα εμπορικά, αλλά χωρίς τις δυσάρεστες παρενέργειες.
Πως να αφαιρέσετε με ασφάλεια μόνες σας τις ψεύτικες βλεφαρίδες στο σπίτι & Όλα τα κόλπα από ειδικό

www.cedarcreekdentist.com
Φυσικό στοματικό διάλυμα
Η συνταγή απαιτεί μαγειρική σόδα που μπορεί να κάνει θαύματα για τη στοματική σας υγεία. Είναι πολύ εύκολο να παρασκευαστεί και μπορεί να χρησιμοποιηθεί για πιο λευκά και υγιή δόντια.
Έξυπνα κολπα για μην ξεραθούν τα λουλούδια και τα φυτά σας όταν πάτε διακοπές
Θα χρειαστείτε:
1 κουταλιά της σούπας μαγειρική σόδα ½ φλιτζάνι ζεστό νερό ½ κουταλάκι του γλυκού θαλασσινό αλάτι Μεσοδόντιο βουρτσάκι ή οδοντογλυφίδα

Οδηγίες:
Σε ένα μπολ ρίξτε τη μαγειρική σόδα και το αλάτι. Περάστε την οδοντόβουρτσα κάτω από το νερό και απλώστε λίγο από το μείγμα πάνω της. Βουρτσίστε τα δόντια σας όπως κάνετε συνήθως με αυτό το μείγμα και ξεπλύνετε με χλιαρό νερό.
8 γιατροσόφια που αντιμετωπίζουν τον πονόδοντο μέχρι να πας στον οδοντίατρο
Η διαδικασία αυτή, σύμφωνα με το toftiaxa.gr βέβαια θέλει προσοχή. Δεν πρέπει να γίνεται με μεγάλη συχνότητα.