Σχεδόν τυφλή κόντεψε να μείνει μια μητέρα δύο παιδιών γιατί δεν έβγαζε ποτέ τη μάσκαρα από τα μάτια της για 25 χρόνια, με αποτέλεσμα να σχηματιστούν θρόμβοι κάτω από τα βλέφαρά της.
Η 50χρονη Τερέζα Λιντς, από το Σίδνεϊ, ζήτησε ιατρική συμβουλή όταν υπέφερε από ερεθισμό των ματιών και μια δυσάρεστη αίσθηση κάτω από τα βλέφαρά της και τα κολλύρια δεν την ανακούφιζαν.

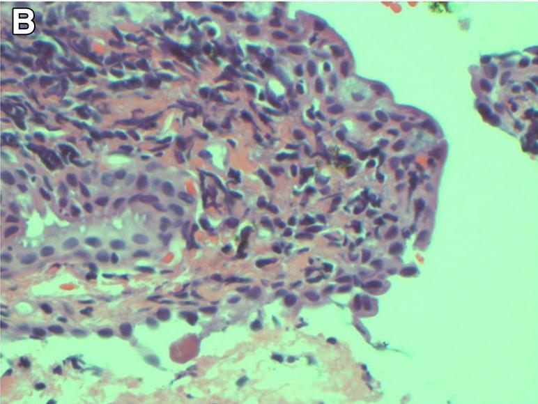
Η 50χρονη σοκαρίστηκε όταν οι γιατροί ανακάλυψαν πως είχε σκληρούς, μαύρους θρόμβους κάτω από τα βλέφαρά της.
Οι θρόμβοι έθεταν σοβαρό κίνδυνο στην όρασή της και χρειάστηκε γενική αναισθησία και μία επέμβαση 90 λεπτών για να αφαιρεθούν.
Η Τερέζα και η Δρ Ντάνα Ρόμπεϊ έδωσαν στη δημοσιότητα τις φρικτές εικόνες για να δείξουν τους κινδύνους του να μην αφαιρείται τη μάσκαρα το βράδυ πριν πέσετε για ύπνο

Περιγράφοντας την επίδραση της συσσώρευσης μάσκαρας, η Τερέζα είπε ότι άρχισε να νιώθει μια παράξενη αίσθηση σαν να υπήρχε κάτι κάτω από τα βλέφαρά της. «Οι θρόμβοι είχαν σχηματιστεί πολύ βαθιά. Ένιωθα πολύ άβολα. Τα βλέφαρά μου ήταν πρησμένα και βαριά. Όταν η Δρ Ρόμπεϊ σήκωσε το βλέφαρό μου είπε: ‘Ω Θεέ μου. Σε ολόκληρη την καριέρα μου δεν έχω ξαναδεί κάτι τέτοιο’».
Η Τερέζα αποκάλυψε πως συγκλονίστηκε από την ανακάλυψη της γιατρού και ανησυχούσε πως μπορεί να είχε «μόνιμη βλάβη» στο βλέφαρό της. «Είχα την κακιά συνήθεια να βάφομαι πολύ και να μην αφαιρώ το μακιγιάζ. ΔΕ θα έπρεπε ποτέ να το αφήσω να φτάσει τόσο μακριά» εξήγησε. «Είναι πολύ σημαντικό να αφαιρείτε σωστά το μακιγιάζ κάθε βράδυ. Δεν πρέπει να το παραλείπετε ούτε για μια μέρα».

Η Δρ. Ρόμπεϊ, που δημοσίευσε μια μελέτη για την περίπτωση της Τερέζα, είπε πως δεν είχε ξαναδεί και παρόμοιο και πως κινδύνευε να μείνει τυφλή και πρόσθεσε πως ελπίζει ότι η περίπτωση αυτή θα είναι μια σημαντική πλατφόρμα για την ευαισθητοποίηση σχετικά με τους κρυφούς κινδύνους των καθημερινών προϊόντων ομορφιάς.

Όπως είπε η γιατρός: «Κάθε φορά που η Τερέζα ανοιγόκλεινε τα μάτια της, αυτοί οι θρόμβοι έτριβαν την επιφάνεια του ματιού και έθεταν σε κίνδυνο την όρασή της. Εάν η γρατσουνιά στην επιφάνεια του ματιού μολυνόταν, υπήρχε ο κίνδυνος να τυφλωθεί, αν και ήταν σπάνιο».