Αρχαία ασθένεια από το 3800 π.Χ. που προκαλεί πτώση των δοντιών επανήλθε και έχει αυξητική πορεία ιδιαίτερα στα παιδιά. Ποια είναι και ποια τα συμπτώματα της.
Μια αρχαία ασθένεια που ρίχνει τα δόντια των ανθρώπων βρίσκεται σε άνοδο μεταξύ των παιδιών στις ΗΠΑ, σύμφωνα με στοιχεία.
Το σκορβούτο μπορεί να εντοπιστεί στην Αίγυπτο το 3800 π.Χ. και πιστεύεται ότι εξαφανίστηκε το 1900, όταν η διατροφή έγινε πιο υγιεινή και πιο ισορροπημένη.
Νορβηγική ψώρα : Τα συμπτώματά της και γιατί είναι υπερμεταδοτική

Ωστόσο, η ασθένεια επανήλθε στη δεκαετία του 1970, όταν η αμερικανική διατροφή βασίστηκε περισσότερο στους υδατάνθρακες και εξαρτήθηκε λιγότερο από φρέσκα φρούτα και λαχανικά, σύμφωνα με την Εθνική Βιβλιοθήκη Ιατρικής.
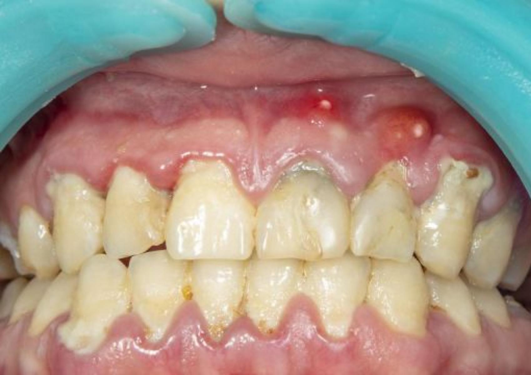
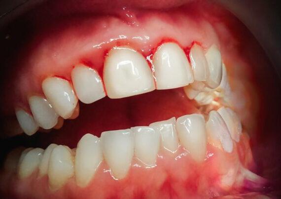
Το σκορβούτο προκαλείται από την ανεπαρκή βιταμίνη C στη διατροφή σας για μεγάλο χρονικό διάστημα.
Τα συμπτώματα περιλαμβάνουν πρήξιμο, αιμορραγία των ούλων και σε ορισμένες περιπτώσεις η ασθένεια μπορεί να προκαλέσει πτώση των δοντιών των ασθενών. Οι πάσχοντες αναπτύσσουν επίσης κόκκινες ή μπλε κηλίδες στο δέρμα, συνήθως στα πόδια σύμφωνα με τον Βρετανικό Οργανισμό Υγείας.
Μεσεντέριος Λεμφαδενίτιδα στα παιδιά: Τι είναι ποια τα συμπτώματα και πως αντιμετωπίζεται

Photo via : www.onmed.gr
Τώρα, τα δεδομένα διαπίστωσαν ότι το ποσοστό του σκορβούτου τριπλασιάστηκε ανάμεσα στο 2016 και το 2020 μεταξύ των Αμερικανών παιδιών, από περίπου οκτώ στα 100.000 παιδιά νοσούν πλέον 27, σύμφωνα με την Daily Mail.
Τοξικό Αδένωμα Θυρεοειδούς: Τι είναι ποια τα συμπτώματα και πως να τα αντιμετωπίσετε
Η επισιτιστική ανασφάλεια αυξάνεται στις ΗΠΑ, με το 17% των αμερικανικών νοικοκυριών με παιδιά να αντιμετωπίζουν πρόβλημα – μια αύξηση της τάξεως του 40% από το προηγούμενο έτος, σύμφωνα με το Υπουργείο Γεωργίας των Ηνωμένων Πολιτειών (USDA