Μια οικογένεια ήταν αρκετά ενθουσιασμένοι όταν η μαμά έμεινε έγκυος. Ήδη ήταν γονείς καθώς είχαν ένα γιο, και ήξεραν οτι η προσθήκη ενός ακόμη μέλους θα φέρει περισσότερη αγάπη, χαρά και ευτυχία.
Φάνηκε ότι τα πράγματα πήγαιναν καλά μέχρι όπου η μαμά άρχισε να αρρωσταίνει. Η ασθένεια της μαμάς έφερε ανησυχία, διότι αυτή δεν είχε βιώσει συμπτώματα ασθένειας κατά τη διάρκεια της πρώτης εγκυμοσύνης της. Όταν οι γιατροί είδαν το πρώτο υπερηχογράφημα της, ανακάλυψαν τη σπαρακτική αλήθεια: δεν υπήρχε το μωρό.
Δείτε ακόμη: To μοναδικό πράγμα που μετάνιωσα στην εγκυμοσύνη μου
Αποδείχθηκε ότι η μητέρα δεν το περίμενε αυτό που θα ακολουθούσε. Η μήτρα της ήταν γεμάτη με όγκους. Το φαινόμενο αυτό είναι γνωστό ως μύλη κύηση.
Σύμφωνα με την Κλινική Μάγιο , “Η μύλη κύηση είναι επίσης γνωστή και ως υδατιδόμορφη μύλη κύηση μια σπάνια καλοήθης (μη καρκινική) νεοπλασία, (καλοήθους) όγκου που αναπτύσσεται στη μήτρα. Η μύλη κύηση ξεκινά όταν ένα ωάριο γονιμοποιηθεί, όπου σε αντίθεση με τα αποτελέσματα της κανονικής, βιώσιμης εγκυμοσύνης , ο πλακούντας αναπτύσσεται σε μια ανώμαλη μάζα κύστεων. ”
Δείτε ακόμη: 7 λόγοι που μπορεί να έχεις καθυστέρηση, εκτός της εγκυμοσύνης
Αν και δεν καταφέραμε να προσθέσουμε στην οικογένειά μας ένα ακόμη μέλος, είμαι τόσο ευγνώμων για την καταπληκτική γυναίκα και το γιο που έχω σήμερα.
Δείτε την απίστευτη ιστορία αυτής της οικογένειας παρακάτω …
photo credit: instagram
Πρόσφατα, μάθαμε οτι περιμένουμεεε μωρόοο. Ήταν μεγάλη είδηση! Καθώς πρόκειται να αυξηθεί η οικογένειά μας με ένα ακόμη κτύπο καρδιάς.
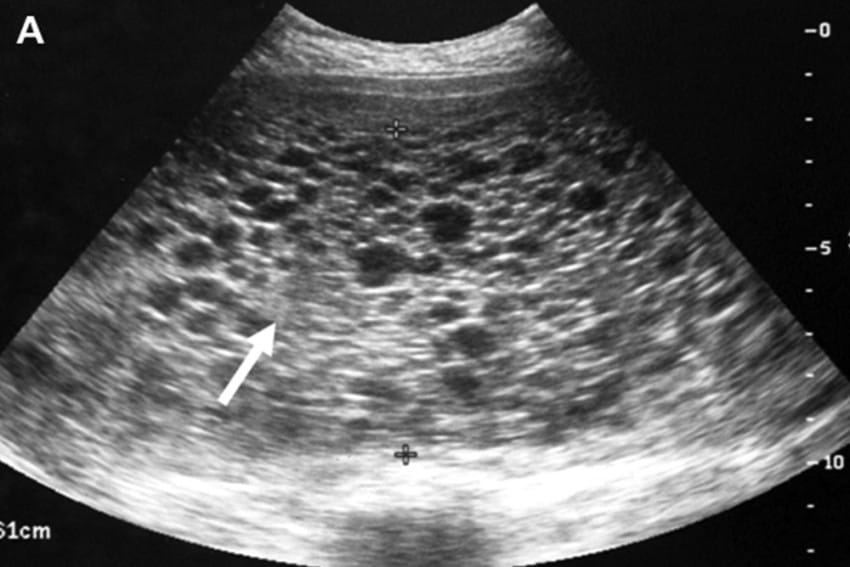
Η σύζυγός μου ήταν πολύ άρρωστη στο μεγαλύτερο μέρος της εγκυμοσύνης, η οποία δεν έμοιαζε την πρώτη σε τίποτα. Στις 11 εβδομάδες, είχαμε το πρώτο μας υπερηχογράφημα και η είδηση δεν ήταν καθόλου καλή.
photo credit:imgur
Δεν υπήρχε μωρό. Αντ ‘αυτού, αυτό που βλέπαμε έμοιαζε με ένα τσαμπί σταφύλια. Ήταν ένας όγκος.
photo credit:youtube
Δείτε ακόμη: Δείτε την αναδιαταξη των εσωτερικών οργάνων μιας γυναίκας, κατά τη διάρκεια της εγκυμοσύνης!
Αυτό το αποκαλούν ως μύλη κύηση. Η σύζυγός μου έπρεπε να χειρουργηθεί αμέσως. Επειδή η μύλη κύηση είναι αγγειακή, ο χειρουργός έπρεπε να προετοιμαστεί για μια πλήρη υστερεκτομή.
Ευτυχώς, όλα βγήκαν χωρίς να υπάρχουν απώλειες, και χωρίς να πρέπει να αφαιρεθεί κάτι άλλο.
photo credit: youtube
Τα σημάδια της μύλης κύησης μπορεί να περιλαμβάνουν:
- Σκούρα καφέ σε έντονο κόκκινο κολπική αιμορραγία κατά τη διάρκεια του πρώτου τριμήνου.
- Σοβαρή ναυτία και έμετος
- Κολπικό πέρασμα κάτι σαν σταφυλιών, όπως κύστες.
- Πυελική πίεση ή πόνος, αν και σπάνια
photo credit: imgur
Αν και δεν καταφέραμε να προσθέσουμε στην οικογένειά μας ένα ακόμη μέλος, είμαι τόσο ευγνώμων για την καταπληκτική γυναίκα και το γιο που έχω σήμερα.
photo credit: 
photo credit:
photo credit:
photo credit:
photo credit: imgur