Ένας νεαρός Ινδός μεταφέρθηκε εσπευσμένα στο νοσοκομείο όταν το μπανάκι που είπε να κάνει δεν πήγε καθόλου καλά.
Ο 26χρονος δήλωσε πως παραπάτησε στην μπανιέρα και έπεσε, καταλήγοντας με το τηλέφωνο του μπάνιου σφηνωμένο στο έντερό του. Και είπε πως αναγκάστηκε να ξεβιδώσει το τηλέφωνο από το σπιράλ ώστε να απεγκλωβιστεί από τη μοιραία πτώση.
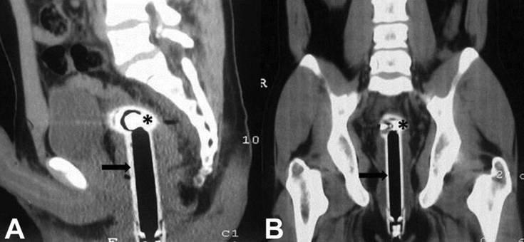
Ο άντρας κατέληξε σε πανεπιστημιακό και ερευνητικό νοσοκομείο του Νέου Δελχί, όπου διαπιστώθηκε η καλή του κατάσταση, καθώς δεν είχε υποστεί εσωτερική αιμορραγία. Η περίπτωσή του δημοσιεύτηκε στο περιοδικό «British Medical Journal», όπου υπάρχει και η σχετική ακτινογραφία με το τηλέφωνο του μπάνιου μέσα στον οργανισμό του.

Μετά τη μικροεπέμβαση για την αφαίρεση του ξένου σώματος, ο άντρας παρέμεινε στο νοσοκομείο δύο μέρες για προληπτικούς λόγους και στάλθηκε τελικά στο σπίτι του. Ο επικεφαλής γιατρός πάντως δρ Peeyush Kumar, λέγοντας πόσο συχνά επαναλάμβανε ο άντρας ότι το τηλέφωνο είχε σφηνωθεί στον πρωκτό του από την πτώση, έγραψε:
«Τέτοια ιστορικά είναι συνήθως διφορούμενα και ελλιπή εξαιτίας του υψηλού βαθμού της ντροπής και του κοινωνικού στίγματος που συνδέονται με τέτοιες καταστάσεις. Το ίδιο συνέβη και στην περίπτωσή μας. Παρά το γεγονός ότι ο ασθενής ανέφερε συμπτωματική εισαγωγή του τηλεφώνου του μπάνιου και αρνήθηκε την εκούσια εισαγωγή, υπάρχει μεγάλη υποψία για εκούσια εισαγωγή για αυτο-ερωτικούς σκοπούς»…