Η έξαρση της φυματίωσης τα τελευταία χρόνια στην χώρα μας, γεγονός. Δείτε τι είναι, ποια τα συμπτώματα της και ποια η θεραπεία της.
Η κλιματική αλλαγή και η άνοδος της θερμοκρασίας σε πολλές περιοχές έχει οδηγήσει να περνά ο χειμώνας με θερμοκρασίες άνω των 15οC με αποτέλεσμα να πολλαπλασιάζονται τα έντομα και κυρίως τα κουνούπια με ταχύτατους ρυθμούς. Αυτό συμβαίνει και στην Ελλάδα. Έτσι ασθένειες άγνωστες ή που είχαν εκλείψει, όπως η φυματίωση, βρίσκονται σε αύξηση.

Καθώς η φυματίωση σήμερα τείνει να γίνει μία από τις πιο εκτεταμένες νόσους στον κόσμο, καλό είναι να γνωρίζουμε όσο πιο περιεκτικά γίνεται τον εχθρό.
Αλλεργική πορφύρα στα παιδιά: Τι είναι ποια τα συμπτώματα και ποια η θεραπεία
Καθώς η φυματίωση σήμερα τείνει να γίνει μία από τις πιο εκτεταμένες νόσους στον κόσμο, καλό είναι να γνωρίζουμε όσο πιο περιεκτικά γίνεται τον εχθρό.
Το Κέντρο Ελέγχου και Πρόληψης Νοσημάτων (ΚΕΕΛΠΝΟ) μας δίνει απαντήσεις για τις κυριότερες απορίες μας σχετικά με τη φυματίωση, τον τρόπο μετάδοσής της, τα συμπτώματα, τη θεραπεία της και την προφύλαξή μας.
ΤΙ ΕΙΝΑΙ Η ΦΥΜΑΤΙΩΣΗ;
Η φυματίωση είναι λοιμώδης νόσος που προκαλείται από ένα μικρόβιο που λέγεται μυκοβακτηρίδιο της φυματίωσης και σπανιότερα από άλλους τύπους μυκοβακτηριδίων. Το μυκοβακτηρίδιο της φυματίωσης μπορεί να προσβάλλει οποιοδήποτε όργανο του σώματος, αλλά συνήθως προσβάλλει τους πνεύμονες.
ΠΩΣ ΜΕΤΑΔΙΔΕΤΑΙ Η ΦΥΜΑΤΙΩΣΗ;
Η φυματίωση μεταδίδεται από το ένα άτομο στο άλλο, με την εισπνοή σταγονιδίων που περιέχουν μυκοβακτηρίδια. Τα άτομα με πνευμονική φυματίωση αποβάλλουν πολύ μικρά τέτοια σταγονίδια με το βήχα, το φτάρνισμα και τη δυνατή ομιλία. Τα άτομα αυτά μεταδίδουν συνήθως τη νόσο στους ανθρώπους που είναι σε επαφή μαζί τους αρκετές ώρες κάθε μέρα. Αυτοί μπορεί να είναι η οικογένειά τους, οι φίλοι τους ή οι συνάδελφοι στη δουλειά.
ΤΙ ΣΗΜΑΙΝΕΙ ΟΤΙ ΕΧΩ ΜΟΛΥΝΘΕΙ;
Οι περισσότεροι άνθρωποι που εισπνέουν τα μυκοβακτηρίδια μολύνονται αλλά ο οργανισμός έχει την ικανότητα να αμυνθεί και να σταματήσει την ανάπτυξή τους. Με αυτό τον τρόπο τα μυκοβακτηρίδια γίνονται ανενεργά, αλλά παραμένουν στον οργανισμό και μπορεί να γίνουν ενεργά αργότερα.
Ζαλάδες ,άσθμα, δερματίτιδες και όλα όσα μπορούμε να πάθουμε από τα υλικά που είναι Φτιαγμένο το σπίτι
ΤΙ ΣΗΜΑΙΝΕΙ ΟΤΙ ΝΟΣΩ;
Τα μυκοβακτηρίδια της φυματίωσης γίνονται ενεργά αν το αμυντικό σύστημα δεν μπορεί να σταματήσει την ανάπτυξή τους. Τα ενεργά μυκοβακτηρίδια πολλαπλασιάζονται μέσα στον οργανισμό και προκαλούν νόσο. Μερικοί άνθρωποι αρρωσταίνουν σχεδόν αμέσως μετά την μόλυνση, άλλοι όμως μπορεί να αρρωστήσουν αργότερα, όταν για κάποιο λόγο εξασθενήσει το αμυντικό τους σύστημα. Περισσότερο ευαίσθητα είναι τα παιδιά και οι ηλικιωμένοι καθώς επίσης άτομα με διαβήτη, χρόνια νεφρική ανεπάρκεια, λευχαιμία ή λεμφώματα, αλκοολικοί, τοξικομανείς.
ΠΟΙΑ ΕΙΝΑΙ ΤΑ ΣΥΜΠΤΩΜΑΤΑ ΤΗΣ ΦΥΜΑΤΙΩΣΗΣ;
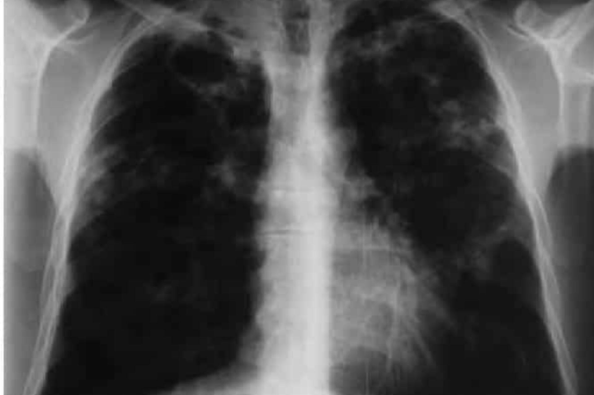
Τα συμπτώματα της φυματίωσης εξαρτώνται από το όργανο που έχει προσβληθεί. Η νόσος προσβάλλει κυρίως τους πνεύμονες που αποτελούν και την πύλη εισόδου του μυκοβακτηριδίου. Από τους πνεύμονες όμως τα μυκοβακτηρίδια μπορούν να διασπαρούν σε όλο το σώμα και να εγκατασταθούν σε άλλα όργανα όπως οι λεμφαδένες, οι νεφροί, τα οστά, οι σπόνδυλοι και οι μήνιγγες. Τα συμπτώματα ποικίλλουν ανάλογα με το όργανο που πάσχει.
Στην πνευμονική φυματίωση συνήθως υπάρχει βήχας με ή χωρίς πτύελα, αιμόπτυση, πόνος στο στήθος, δύσπνοια. Άλλα συμπτώματα είναι αδυναμία, εύκολη κόπωση, απώλεια βάρους ανορεξία, ρίγη, πυρετός, νυχτερινοί ιδρώτες.

ΠΩΣ ΜΠΟΡΩ ΝΑ ΕΛΕΓΞΩ ΑΝ ΕΧΩ ΜΟΛΥΝΘΕΙ;
Η Mantoux είναι ο μόνος τρόπος για να δούμε αν κάποιος έχει μολυνθεί από το μυκοβακτηρίδιο της φυματίωσης. Είναι ένα δερματικό τεστ που βασίζεται στην ενδοδερμική ένεση μικρής ποσότητας φυματινικής πρωτεΐνης και η αντίδραση στο τεστ διαβάζεται μετά από 2 ημέρες (48 ώρες). Η Mantoux γίνεται στα νοσοκομεία, στα Κέντρα Υγείας, στα ιατρεία του ΙΚΑ και στις Υγειονομικές Υπηρεσίες όλης της χώρας.
Σύνδρομο Raynaud: Τι είναι ποια τα συμπτώματα και ποια η θεραπεία
ΤΙ ΣΥΜΒΑΙΝΕΙ ΑΝ ΕΧΩ ΕΜΒΟΛΙΑΣΤΕΙ ΜΕ BCG;
Το BCG είναι εμβόλιο για τη φυματίωση. Γίνεται σε βρέφη και μικρά παιδιά σε χώρες που η φυματίωση είναι σχετικά συχνή, διότι προλαμβάνει τη γενικευμένη νόσο. Στην Ελλάδα το BCG περιλαμβάνεται στο Εθνικό Πρόγραμμα Εμβολιασμών και γίνεται στην ηλικία των 6 ετών, δεν μας προστατεύει πάντα από τη φυματίωση.
Αν έχετε εμβολιαστεί με BCG, μπορεί να έχετε θετική Mantoux. Η θετική Mantoux μπορεί να οφείλεται στο εμβόλιο, μπορεί όμως να οφείλεται και σε μόλυνση από το μυκοβακτηρίδιο όταν:
• η αντίδραση είναι μεγάλη • έχετε εμβολιαστεί πριν από πολλά χρόνια • έχετε έρθει σε επαφή με άτομο που έχει μεταδοτική φυματίωση
ΑΝ ΕΧΩ ΜΟΛΥΝΘΕΙ ΜΕ ΤΟ ΜΥΚΟΒΑΚΤΗΡΙΔΙΟ ΠΩΣ ΜΠΟΡΩ ΝΑ ΠΡΟΣΤΑΤΕΥΘΩ ΚΑΙ ΝΑ ΜΗΝ ΑΡΡΩΣΤΗΣΩ;
Πολλοί άνθρωποι που μολύνονται με το μυκοβακτηρίδιο δεν αρρωσταίνουν ποτέ από φυματίωση. Υπάρχουν όμως κάποιοι που έχουν περισσότερες πιθανότητες να αρρωστήσουν από φυματίωση όπως:
• φορείς του HIV • άτομα που είναι γνωστό ότι βρίσκονται σε στενή επαφή με άρρωστο που έχει μεταδοτική φυματίωση (πνευμονική) • άτομα που μολύνθηκαν τα τελευταία 2 χρόνια • βρέφη και μικρά παιδιά • άτομα που πάσχουν από χρόνια νοσήματα και έχουν εξασθενημένο αμυντικό σύστημα • ηλικιωμένοι
Στις περιπτώσεις αυτές έχει νόημα η χορήγηση χημειοπροφύλαξης, δηλαδή η προληπτική αγωγή με ένα φάρμακο (το φάρμακο που χρησιμοποιείται συνήθως είναι η ισονιαζίδη),το οποίο σκοτώνει τα μυκοβακτηρίδια, με αποτέλεσμα αυτός που έχει μολυνθεί να μη νοσήσει. Η χημειοπροφύλαξη δίνεται για χρονικό διάστημα 6-9 μηνών, σε ειδικές όμως περιπτώσεις μπορεί να δοθεί για μεγαλύτερο χρονικό διάστημα.
Κοκκύτης : Σε έξαρση η νόσος Πολλαπλασιάστηκαν τα κρούσματα
ΜΠΟΡΕΙ ΝΑ ΘΕΡΑΠΕΥΤΕΙ Η ΦΥΜΑΤΙΩΣΗ ΚΑΙ ΠΩΣ;
Τα νέα για τους ανθρώπους που έχουν αρρωστήσει από φυματίωση είναι πάρα πολύ καλά. Η φυματίωση μπορεί σχεδόν πάντα να θεραπευτεί με φάρμακα, πρέπει όμως να πάρετε περισσότερα από ένα φάρμακο και για μεγάλο χρονικό διάστημα. Αυτό συμβαίνει γιατί ο αριθμός των μικροβίων που πρέπει να σκοτωθεί είναι πολύ μεγάλος.
Ο συνδυασμός πολλών φαρμάκων για αρκετό χρονικό διάστημα, μπορεί να καταπολεμήσει όλα τα μικρόβια και να τα εμποδίσει να γίνουν ανθεκτικά στα φάρμακα. Για τον λόγο αυτό είναι πολύ σημαντικό να παίρνετε τα φάρμακά σας όπως ακριβώς σας λέει ο γιατρός σας.

ΓΙΑΤΙ ΠΡΕΠΕΙ ΝΑ ΠΑΙΡΝΩ ΣΥΝΕΧΩΣ ΤΑ ΦΑΡΜΑΚΑ ΜΟΥ ΚΑΙ ΝΑ ΜΗΝ ΔΙΑΚΟΠΤΩ ΤΗ ΘΕΡΑΠΕΙΑ;
Τα μικρόβια της φυματίωση σκοτώνονται πολύ αργά. Χρειάζονται το λιγότερο 6 μήνες για να σκοτωθούν όλα τα μυκοβακτηρίδια. Πιθανότατα, θα αρχίσετε να αισθάνεστε καλύτερα μόλις μερικές εβδομάδες από την έναρξη της θεραπείας. Αλλά προσοχή! Εάν δεν συνεχίσετε να παίρνετε τα φάρμακά σας συστηματικά, υπάρχει μεγάλος κίνδυνος.
Τα μυκοβακτηρίδια θα αρχίσουν πάλι να αναπτύσσονται, ενώ μπορούν να γίνουν ανθεκτικά στα φάρμακα που παίρνετε. Τότε θα χρειαστεί να πάρετε καινούργια φάρμακα, για περισσότερο χρόνο και τα οποία έχουν περισσότερες παρενέργειες.
Για αυτόν ακριβώς το λόγο είναι πολύ σημαντικό να ακολουθείτε τις οδηγίες του γιατρού σας.
Βήχας που δεν σταματάει στο παιδί: Αντιμετώπιση
ΧΡΕΙΑΖΕΤΑΙ ΕΙΔΙΚΗ ΔΙΑΙΤΑ;
Όχι. Μπορείτε να τρώτε κανονικά το φαγητό σας και δε χρειάζεται να παχύνετε. Αν το βάρος σας είναι κανονικό, τα περιττά κιλά δεν πρόκειται να θεραπεύσουν τη φυματίωση.
ΠΩΣ ΓΙΝΕΤΑΙ ΝΑ ΜΗ ΜΕΤΑΔΩΣΩ ΤΗ ΦΥΜΑΤΙΩΣΗ ΣΕ ΑΛΛΟΥΣ;
Το πιο σημαντικό είναι να παίρνετε όλα σας τα φάρμακα όπως σας έχει πει ο γιατρός σας. Θα πρέπει ακόμα να πηγαίνετε σε όλα τα ραντεβού με το γιατρό σας, ο οποίος θα βλέπει πως πάτε. Μη διστάζετε να λέτε στο γιατρό σας οτιδήποτε νομίζετε ότι δεν πηγαίνει καλά. Αν πάσχετε από πνευμονική φυματίωση, υπάρχουν μερικά πράγματα που μπορείτε να κάνετε για να προστατεύσετε τον εαυτό σας και τους γύρω σας:
• Το πιο σημαντικό είναι να παίρνετε τα φάρμακά σας • Καλύπτετε το στόμα σας με ένα μαντίλι όταν βήχετε, φταρνίζεστε ή γελάτε και τοποθετήστε το σε μία σακούλα την οποία θα κλείσετε καλά και θα την πετάξετε. • Μην πηγαίνετε στη δουλειά ή στο σχολείο και αποφύγετε τη στενή επαφή με οποιονδήποτε • Αερίζετε συχνά το δωμάτιό σας (αν δεν κάνει πολύ κρύο έξω)
Θυμηθείτε, σύμφωνα με το iatrica.gr ότι η φυματίωση μεταδίδεται μέσω του αέρα. Οι άνθρωποι δεν μπορούν να μολυνθούν με τα μαντήλια, τα σεντόνια, τα κοινά πιάτα και μαχαιροπίρουνα, τα ποτήρια και τις τουαλέτες.
Αλλαντίαση: Τι είναι και ποια τα συμπτώματα
Δύο με τρεις εβδομάδες συνήθως μετά την έναρξη της θεραπείας, δεν μεταδίδετε πια τα μυκοβακτηρίδια στους άλλους. Εάν συμφωνεί και ο γιατρός σας μπορείτε να επιστρέψετε στις καθημερινές σας ασχολίες.
Πηγή: www.keel.org.gr