Είναι ο επίμονος βήχας σύμπτωμα καρκίνου του πνεύμονα; Πότε πρέπει να μας ανησυχήσει και να επισκεφθούμε άμεσα τον γιατρό μας;
Δυστυχώς ο καρκίνος του πνεύμονα σε πολλές περιπτώσεις αποτελείται από συμπτώματα που μπορεί ένας ασθενής να μη δώσει σημασία. Είναι ο επίμονος βήχας ένα τέτοιο σύμπτωμα που πρέπει να σας κινητοποιήσει; Πότε ο βήχας μπορεί να είναι σύμπτωμα καρκίνου του πνεύμονα και ποια άλλα συμπτώματα περιλαμβάνει που πρέπει να σας ανησυχήσουν;
Ο καρκίνος του πνεύμονα είναι από τους συχνότερους καρκίνους μεταξύ ανδρών και γυναικών και από τους πλέον θανατηφόρους. Στα πρώιμα στάδια του μάλιστα εκδηλώνει κάποια συμπτώματα μόνο που τις περισσότερες φορές, αυτά είναι αθώα με αποτέλεσμα ο ασθενής να μην επισκεφθεί σύντομα τον γιατρό.
Με τους αριθμούς των καπνιστών να αυξάνονται σε παγκόσμιο επίπεδο, αξίζει να ξέρεις τα συμπτώματα που υποδηλώνουν αυτήν την ασθένεια, ακόμη κι αν αυτά φαίνονται να μην είναι ανησυχητικά. Ανάμεσα σε αυτά βρίσκεται και ο επίμονος βήχας ή όχι; Διαβάστε παρακάτω:
Τα συμπτώματα του καρκίνου του πνεύμονα
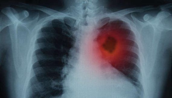
Ο επίμονος βήχας
Ο επίμονος βήχας που διαρκεί καιρό πρέπει να σας κινητοποιήσει αμέσως. Ειδικά όταν συνοδεύεται από δύσπνοια, ακόμη κι αν είναι μικρής κλίμακας ή από αίμα ή σκούρες βλεννώδεις εκκρίσεις. Ακόμη κι αν ο βήχας όμως είναι ξηρός και μη παραγωγικός και φαίνεται σε πολλές περιπτώσεις σαν αθώο βηχαλάκι, θα πρέπει να σας οδηγήσει σε άμεσες εξετάσεις.

Πόνος στο στήθος
Από την άλλη ένα εξίσου συνηθισμένο σύμπτωμα είναι ο έντονος και επίμονος πόνος στο στήθος. Αν νιώσετε κάτι τέτοιο θα πρέπει να κλείσετε αμέσως ραντεβού με πνευμονολόγο και να προχωρήσετε στις απαραίτητες εξετάσεις.
Έντονη δύσπνοια
Αν νιώθετε δύσπνοια χωρίς να έχετε κουραστεί ή χωρίς να έχετε αλλεργία σε κάτι στο περιβάλλον τότε μπορεί να αποτελεί ανησυχητικό σημάδι. Δεν πρέπει να αδιαφορήσετε διότι η δύσπνοια είναι ένα από τα πρώτα συμπτώματα του καρκίνου στον πνεύμονα.
Βραχνάδα στη φωνή
Αν ξαφνικά η φωνή σας ξεκινήσει να ακούγεται βραχνή και η βραχνάδα δεν υποχωρεί με το πέρασμα του χρόνου αλλά επιμένει και επιδεινώνεται τότε θα πρέπει να επισκεφθείτε τον γιατρό σας. Πέρα από τον καρκίνο, μπορεί να υπάρχει κάποια φλεγμονή στις φωνητικές χορδές.

Απότομη απώλεια βάρους
Αν χάνετε χωρίς προφανή λόγο βάρος και μάλιστα σε μικρό χρονικό διάστημα τότε μπορεί ο καρκίνος του πνεύμονα να είναι η αιτία. Βέβαια αξίζει να σημειωθεί ότι η απώλεια βάρους συνδέεται και με άλλες σοβαρές ή όχι και τόσο ασθένειες, που θα πρέπει να διερευνήσετε.
Σωματική αδυναμία
Από την άλλη σε πολλές περιπτώσεις, οι άνθρωποι με καρκίνο στον πνεύμονα νιώθουν συχνά εξαντλημένοι χωρίς προφανή λόγο. Αν λοιπόν νιώθετε σωματική αδυναμία ενώ παλιότερα κάνοντας τα ίδια πράγματα ήσασταν μία χαρά τότε ίσως πρέπει να σας “χτυπήσει” κάποιο καμπανάκι.
Μυϊκή αδυναμία
Ακόμη ένα σύμπτωμα είναι η μυϊκή αδυναμία αλλά και ο πόνος στα οστά που μπορεί να εστιάζει στα ισχία, στους ώμους, στη πλάτη, στα χέρια και στα πόδια. Αυτό συμβαίνει όταν η νόσος έχει πλήξει κι άλλα όργανα του σώματος.
Αρρωσταίνετε συχνά με λοιμώξεις που αφορούν τον πνεύμονα
Τέλος αν τον τελευταίο καιρό έχετε διαπιστώσει ότι αρρωσταίνετε συχνά με λοιμώξεις που αφορούν τον πνεύμονα όπως πνευμονία ή βρογχίτιδα τότε θα πρέπει να αναζητήσετε βοήθεια χωρίς καθυστέρηση για να βρείτε την αιτία που ξαφνικά έπεσε τόσο το ανοσοποιητικό σας.
Η διάγνωση στον καρκίνο του πνεύμονα
Για τη διάγνωση του καρκίνου του πνεύμονα θα πρέπει αρχικά να κάνετε μία ακτινογραφία στον θώρακα. Έπειτα θα ακολουθήσει μία αξονική τομογραφία θώρακος και στη συνέχεια μία βιοψία. Ενδέχεται να χρειαστούν κι άλλες εξετάσεις όπως είναι το ΠΕΤ – Σκαν που ανιχνεύει αν ο καρκίνος έχει κάνει μετάσταση και σε απομακρυσμένα όργανα ή ιστούς ή ακόμη και μαγνητική, αφού η πιο συχνή μετάσταση καρκίνου του πνεύμονα είναι στον εγκέφαλο.
Η θεραπεία στον καρκίνο του πνεύμονα
Η θεραπεία εξαρτάται από τον τύπο του καρκίνου, το στάδιο αλλά και την γενική υγεία του ασθενή. Οι βασικότερες θεραπευτικοί οδοί είναι η χειρουργική θεραπεία εφόσον βρίσκεται σε αρχικό στάδιο, η ακτινοθεραπεία, η χημειοθεραπεία και σε κάποιες περιπτώσεις ο συνδυασμός και των δύο. Αξίζει να σημειωθεί ότι η χειρουργική προσέγγιση προκρίνεται σε περιπτώσεις μη μικροκυτταρικού καρκίνου του πνεύμονα.
Ενώ ακόμη και σε περίπτωση μικροκυτταρικού καρκίνου μπορεί να προκύψει χειρουργείο αρκεί να είναι σε πρώιμο στάδιο. Η χειρουργική επέμβαση για την αφαίρεση του όγκου ονομάζεται λοβεκτομή και προβλέπει την αφαίρεση του τμήματος του πνεύμονα που έχει εντοπιστεί ο καρκίνος, αλλά και των λεμφαδένων όπου έχει εξαπλωθεί. Σε κάποιες περιπτώσεις μπορεί να απαιτηθεί ολική αφαίρεση του πνεύμονα.
Από την άλλη η ακτινοθεραπεία μπορεί να αποτελέσει αυτή καθαυτή θεραπεία ή να ακολουθήσει μετά από μία χειρουργική επέμβαση και να εφαρμοστεί είτε μόνη της είτε σε συνδυασμό με χημειοθεραπεία. Ως στόχο έχει την καταστροφή των καρκινικών κυττάρων μέσα από την ακτινοβολία υψηλής ενέργειας. Αυτή η θεραπεία προκρίνεται σε περιπτώσεις που ο ασθενής δεν μπορεί να υποβληθεί σε χειρουργική επέμβαση. Μάλιστα είναι από τις πιο αποτελεσματικές μεθόδους.

Τέλος η χημειοθεραπεία έχει ως στόχο να επιβραδύνει την ανάπτυξη του καρκίνου. Στους πιο επιθετικούς όγκους που δεν επιδέχονται χειρουργείου προκρίνεται ο συνδυασμός ακτινοθεραπείας με χημειοθεραπεία. Η έγκαιρη διάγνωση του καρκίνου του πνεύμονα είναι καταλυτική για την θεραπευτική του αντιμετώπιση.
Όμως συχνά ο ασυμπτωματικός του χαρακτήρας κάνει κάτι τέτοιο αδύνατο. Γι’ αυτό και τα άτομα που καπνίζουν, έχουν ιστορικό καρκίνου στην οικογένεια ή ταλαιπωρούνται συχνά με προβλήματα υγείας του αναπνευστικού θα πρέπει να κάνουν συχνά ελέγχους. Ενημερωθείτε σχετικά με τον καρκίνο του πνεύμονα και πόσο πιο θανατηφόρος είναι στις γυναίκες.
Σχετικά άρθρα για τον καρκίνο που μπορεί να σας αφορούν:
Καρκίνος του πνεύμονα:Αν δείτε αυτό στο φλέγμα σας Δείτε άμεσα το γιατρό σας!
Μεσοθηλίωμα: Τα συμπτώματα του εξαιρετικά επικίνδυνου και επιθετικού καρκίνου
Καρκίνος του Στήθους: Πρόληψη ως και το 90% των Περιπτώσεων μέσα από 12 καθημερινές συνήθειες
Διαβάστε όλα τα άρθρα για την υγεία στο Daddy-Cool.gr
Απαγορεύεται η αναδημοσίευση του άρθρου χωρίς την γραπτή άδεια από τον εκδότη.