Κόκκινο ή αποχρωματισμένο δέρμα με πόνο και φαγούρα, είναι τα πιο συχνά συμπτώματα της ψωρίασης. Δείτε πως βοηθά, το καλοκαίρι, ο ήλιος και η θάλασσα τα άτομα που πάσχουν απο αυτή την χρόνια πάθηση.

Τι είναι η ψωρίαση;
Η ψωρίαση είναι ένα μη μεταδιδόμενο και χρόνιο νόσημα, το οποίο επηρεάζει περίπου το 1-3% του παγκόσμιου πληθυσμού. [1][2] Χαρακτηρίζεται από εξάρσεις και υφέσεις, μπορεί να εκδηλωθεί σε κάθε ηλικία, φύλο και φυλή, ενώ η ένταση και η διάρκεια των συμπτωμάτων διαφέρουν σημαντικά από άτομο σε άτομο. [1]
Κράμπες πρήξιμο και διογκωμένες φλέβες στα πόδια: Οι φυσικές θεραπείες που θα σας ανακουφίσουν από τα συμπτώματα της φλεβίτιδας
Τα ακριβή αίτια που την προκαλούν δεν είναι γνωστά, αλλά θεωρείται πως σε μεγάλο βαθμό η εμφάνισή της σχετίζεται με γενετικούς (κληρονομικότητα) και περιβαλλοντικούς παράγοντες (π.χ. στρες, κάπνισμα, κακή διατροφή). [3][4]
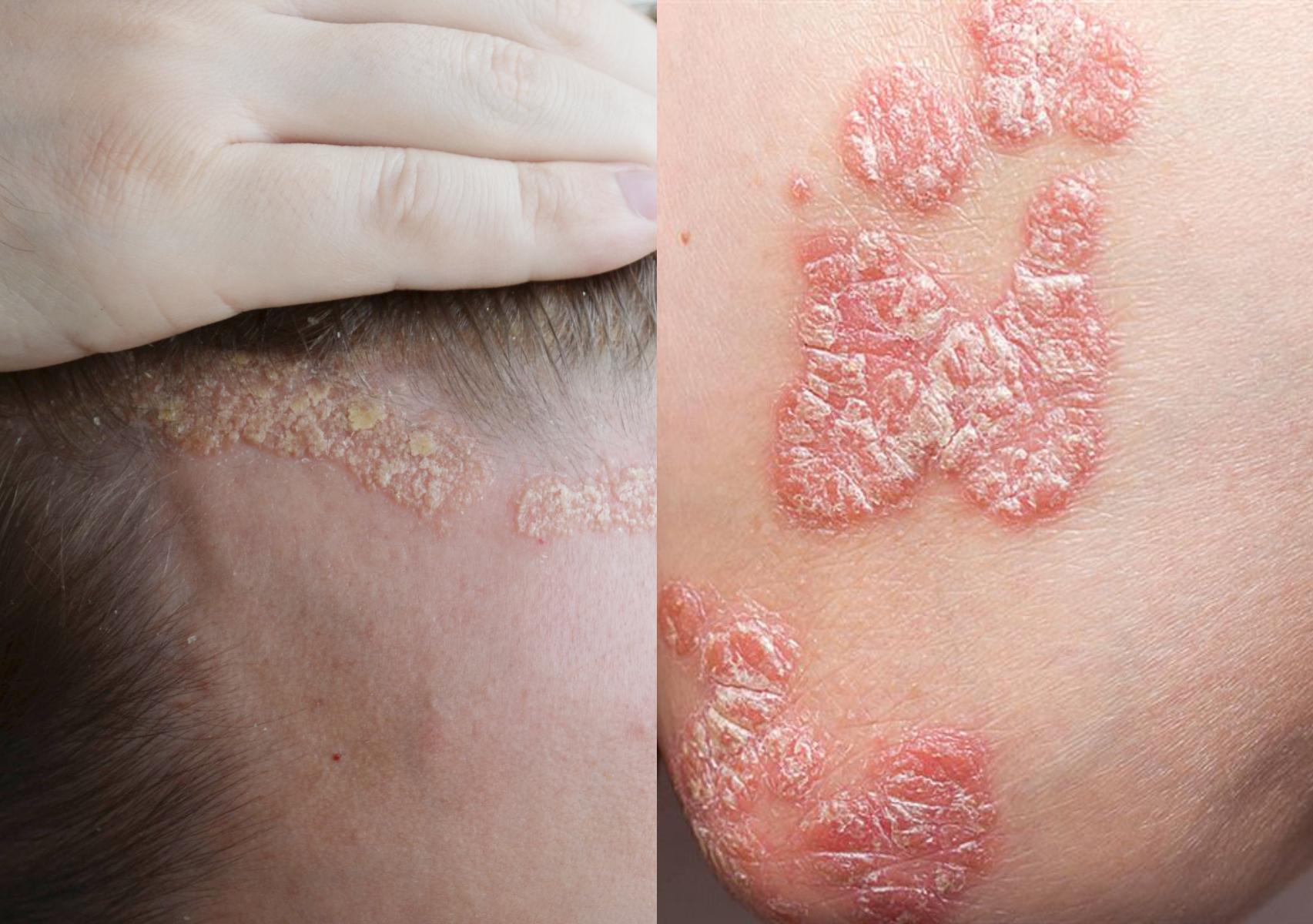
Ψωρίαση: συμπτώματα
Αυτό που συμβαίνει ουσιαστικά στην ψωρίαση είναι η σημαντικά ταχύτερη παραγωγή των δερματικών κυττάρων στην ανώτερη στοιβάδα της επιδερμίδας. [1]
Ως συνέπεια αυτού, παρατηρούνται παχιά σημεία (κηλίδες) στο δέρμα με ερυθρότητα ή/και αργυρόλευκο χρώμα που θυμίζουν λέπια και απομακρύνονται με τη μορφή νιφάδων. [1][2] Οι λεγόμενες ψωριασικές πλάκες που σχηματίζονται στα διάφορα σημεία του δέρματος, προκαλούν συνήθως έντονη δυσφορία (κνησμό, πόνο).
Ωτίτιδα το καλοκαίρι: Τι να προσέξετε και πως να την αντιμετωπίσετε

Οι πιο συχνές περιπτώσεις είναι:
Ψωρίαση στο κεφάλι Ψωρίαση στα χέρια, τις παλάμες ή τους αγκώνες Ψωρίαση νυχιών Ψωρίαση στο πρόσωπο Ψωρίαση στα γόνατα ή τα πέλματα Ψωρίαση στη βουβωνική περιοχή Ψωρίαση στην πλάτη
Πώς φεύγει η ψωρίαση;
Επί του παρόντος, δεν υπάρχει κάποια θεραπεία για την ψωρίαση. Αυτός είναι και ο λόγος που πολλά άτομα βιώνουν ένα διαρκές άγχος για το πώς θα εξελιχθεί η νόσος και αν θα μάθουν να ζουν με αυτήν. [2]
Από την άλλη πλευρά, υπάρχουν διάφοροι τρόποι που βοηθούν σημαντικά στο να μειωθούν τα δυσάρεστα συμπτώματα και να μην εξαπλωθεί ή επιδεινωθεί η κατάσταση. [2]
Θυλακίτιδα το καλοκαίρι: Από τι προκαλείται και πως να την αντιμετωπίσετε
Σήμερα υπάρχουν ποικίλες αγωγές, τοπικές θεραπείες (π.χ. αλοιφή για ψωρίαση), αλλά και διατροφικά συμπληρώματα (ωμέγα 3 λιπαρά οξέα, έλαιο νυχτολούλουδου, προβιοτικά) που φαίνεται να προλαμβάνουν τις εξάρσεις και ανακουφίζουν από τον κνησμό. [2][3]
Επιπλέον, σημαντικό ρόλο διαδραματίζουν η ισορροπημένη διατροφή, η επαρκής φυσική δραστηριότητα και ο έλεγχος του στρες. [3][4] Όμως, αυτό που φαίνεται να εντυπωσιάζει τους πάσχοντες είναι η επίδραση που έχει ο ήλιος και η θάλασσα στην ψωρίαση!

Ψωρίαση, ήλιος και θάλασσα
Πολλοί είναι αυτοί που βλέπουν τα συμπτώματα της ψωρίασης να περιορίζονται σημαντικά κατά την καλοκαιρινή περίοδο, κάτι το οποίο είναι αρκετά λογικό.
Το κρύο που επικρατεί τους χειμερινούς μήνες επιδεινώνει σε μεγάλο βαθμό τη δερματική εκδήλωση της νόσου, ενώ με τον ερχομό πιο ήπιων θερμοκρασιών και της συχνότερης ηλιοφάνειας, τα πράγματα αλλάζουν προς το καλύτερο!
Λεγεωνέλλωση: Πώς μεταδίδεται και πώς εκδηλώνεται η ύπουλη νόσος που μπορεί να κρυφτεί στα κλιματιστικά

Ψωρίαση και ήλιος
Οι ακτίνες του ηλίου φαίνεται να είναι ωφέλιμες για το δέρμα με ψωρίαση, αλλά όπως είναι γνωστό η έκθεση στον ήλιο απαιτεί τεράστια προσοχή! [5]
Μιλώντας για το πιθανό όφελος του ηλίου, δεν αναφερόμαστε φυσικά σε έκθεση που διαρκεί για παράδειγμα 1-2 εβδομάδες (π.χ. στις διακοπές) και σταματά στη συνέχεια. Αντιθέτως, οι ευεργετικές ιδιότητες των ηλιακών ακτίνων γίνονται φανερές μέσω της καθημερινής έκθεσης σε αυτές. [5]
Οι ειδικοί συστήνουν τα πάσχοντα σημεία του δέρματος να εκτίθενται για περίπου 15 λεπτά ημερησίως στον ήλιο, χωρίς αντηλιακό, ώστε να υπάρξει κάποιο όφελος. Όμως, η μεγαλύτερης διάρκειας παραμονή σε μέρη με ήλιο, χωρίς την εφαρμογή αντηλιακής προστασίας και την προστασία μέσω καπέλου και ρουχισμού μπορεί να επιφέρει τα αντίθετα αποτελέσματα, επιδεινώνοντας τα συμπτώματα. [5]
Ποικιλόχρους πιτυρίαση καντιντιάσεις και μυρμηγκιές: Οι Πρώτες Βοήθειες για τις καλοκαιρινές δερματοπάθειες
Συστήνεται, λοιπόν, η καθημερινή έκθεση στον ήλιο για ένα μικρό χρονικό διάστημα και η τήρηση των μέτρων αντηλιακής προστασίας για το υπόλοιπο διάστημα της μέρας:
Επαρκής και τακτική εφαρμογή αντηλιακού (ιδανικά χρήση αντηλιακής κρέμας για ευαίσθητες επιδερμίδες)
Χρήση καπέλου
Παραμονή στη σκιά κατά τις «επικίνδυνες ώρες» (12:00-16:00).

Ψωρίαση και θαλασσινό νερό
Πέρα από τον ήλιο, όμως, στη βελτίωση της εικόνας του ψωριασικού δέρματος φαίνεται να συμβάλλει και το θαλασσινό νερό. Δεν είναι λίγοι αυτοί που πιστεύουν πως ψωρίαση και θάλασσα πάνε μαζί, μιας και βλέπουν μεγάλη αλλαγή στο δέρμα τους, μετά την παραμονή τους σε αυτή!
Διαβήτης : Οι Ειδικές οδηγίες προστασίας για τη ζέστη από την Ελληνική Ενδοκρινολογική Εταιρεία
Το μπάνιο στη θάλασσα βοηθά στην απομάκρυνση των νεκρών κυττάρων και στη μείωση της τραχύτητας και της ερυθρότητας της επιδερμίδας.
Σε συνδυασμό, μάλιστα, με την μικρής διάρκειας έκθεση στην ηλιακή ακτινοβολία η όψη του δέρματος μπορεί να βελτιωθεί σημαντικά.
Συστήνεται, ωστόσο, μετά την επιστροφή από τον ήλιο και τη θάλασσα στο σπίτι, να ακολουθεί ένα αναζωογονητικό ντους και έπειτα να εφαρμόζεται κάποια κατάλληλη ενυδατική κρέμα για την αποτελεσματική ενυδάτωση της επιδερμίδας.
Νεκρά Θάλασσα και ψωρίαση
Από τα αρχαία χρόνια ακόμη, οι λαοί που περιβάλλονται από τη Νεκρά Θάλασσα έχουν ασχοληθεί με τα οφέλη του αλατιού και της λάσπης της σε διάφορες παθήσεις του δέρματος. [6]
Τα τελευταία χρόνια, ολοένα και περισσότεροι επιστήμονες μελετούν τα οφέλη που έχει το νερό της Νεκράς Θάλασσας στην ψωριασική επιδερμίδα.
Κυκλοφορούν, μάλιστα, πολλά δερμοκαλλυντικά προϊόντα με αλάτι ή λάσπη από τη Νεκρά Θάλασσα (Dead Sea Salt), π.χ. κρέμα για ψωρίαση, έλαια, άλατα μπάνιου, σαμπουάν για ψωρίαση κ.ά.
Ηλιακή Κνίδωση: Τι είναι ποια τα συμπτώματα και ποια η θεραπεία

Αυτό που θεωρείται, ωστόσο, πως παρέχει το μεγαλύτερο όφελος δεν είναι το αλάτι αλλά τα μέταλλα που περιέχονται στο νερό και τη λάσπη της (μαγνήσιο, κάλιο, ασβέστιο, κ.ά.).
Πολλοί είναι αυτοί που προμηθεύονται αλάτι από τη Νεκρά Θάλασσα και το προσθέτουν στη μπανιέρα τους (περίπου μισή κούπα σε όλη τη μπανιέρα), ενώ άλλοι χρησιμοποιούν το αλάτι που έχουν στο σπίτι για το φαγητό.
Παράλληλα, αρκετοί επιστήμονες προσπαθούν να επωφεληθούν από την πιθανή επίδραση της Νεκράς Θάλασσας, ώστε να σχεδιάσουν κάποια αποτελεσματική θεραπεία για την ψωρίαση. [7][8]
Συνοψίζοντας, είναι πολύ ευχάριστο που δύο τόσο φυσικά στοιχεία – ο ήλιος και η θάλασσα – μπορούν να βοηθήσουν σε κάποιο βαθμό τα άτομα με ψωρίαση.
Ουρολοίμωξη σε έξαρση το καλοκαίρι: Ποια τα αίτια ποια τα συμπτώματα και ποια η θεραπεία
Είναι σημαντικό, σύμφωνα με το www.vita4you.gr η κάθε κατάσταση υγείας να αντιμετωπίζεται με αισιοδοξία και χωρίς άγχος, γιατί ακόμη και η ψυχολογία από μόνη της μπορεί να επηρεάσει θετικά ή αρνητικά τη ζωή μας.