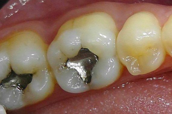
Τα μαύρα σφραγίσματα στα δόντια πρέπει να αντικατασταθούν! Ποια επικίνδυνη ουσία περιέχουν;

Για αρκετά χρόνια τα μαύρα σφραγίσματα για τα δόντια ήταν μονόδρομος. Τα τελευταία χρόνια όμως τείνουν να αντικατασταθούν από άλλα, λευκού χρώματος. Και ενώ οι περισσότεροι από εμάς, θεωρούσαμε ότι αυτή η αντικατάσταση έγινε για καθαρά αισθητικούς λόγους, φαίνεται πως οι επιστήμονες μας διαψεύδουν.

Τα μαύρα σφραγίσματα εμπεριέχουν μια επικίνδυνη ουσία που κάνει κακό στο περιβάλλον. Σύμφωνα με την Ευρωπαϊκή Ένωση λοιπόν, θα πρέπει να αποτελούν παρελθόν μέχρι το 2030. Αυτή η νομοθεσία, ανήκει στην πολίτικη για το Περιβάλλον!

Ποια είναι αυτή η επικίνδυνη ουσία όμως και πως ακριβώς βλάπτει το περιβάλλον; Ο πρόεδρος της Ελληνικής Οδοντιατρικής Ομοσπονδίας, Αθανάσιος Δεβλιώτης, εξήγησε αναλυτικά κι εμείς θα διαβάσουμε παρακάτω τις πολύτιμες τοποθετήσεις του. Δείτε παρακάτω:

Τα μαύρα σφραγίσματα στα δόντια πρέπει να αντικατασταθούν! Ποια επικίνδυνη ουσία περιέχουν;

«Το οδοντιατρικό αμάλγαμα με το χαρακτηριστικό μεταλλικό του χρώμα που περιέχει υδράργυρο και χρησιμοποιείται για πάνω από 150 χρόνια από οδοντιάτρους, έχει αρχίσει να καταργείται. Θεωρείται από τα πιο ανθεκτικά υλικά αποκαταστάσεων και δεν αποτελεί απειλή για την υγεία.

Δείτε ακόμα Καθηγητής του LSE προειδοποιεί: Γιατί δεν πρέπει να κατεβάζουμε τη μάσκα στο πιγούνι μας;

Οπότε, οι ασθενείς που έχουν μαύρα σφραγίσματα στο στόμα τους δεν πρέπει σε καμία περίπτωση να πανικοβάλλονται γιατί δεν κινδυνεύουν να εμφανίσουν κάποιο νόσημα. Η κατάργησή του από την ΕΕ συνίσταται για την προστασία του περιβάλλοντος» εξηγεί ο κύριος Δεβλιώτης.

Συγκεκριμένα, ο πρόεδρος της Ελληνικής Οδοντιατρικής Ομοσπονδίας, εξηγεί ότι οι ποσότητες υδραργύρου που εμπεριέχονται στα μαύρα σφραγίσματα για τα δόντια, παίρνουν μεσώ της αποχέτευσης στο περιβάλλον, όταν οι οδοντίατροι ξεπλένουν τα υλικά τους.

Αυτό έχει ως αποτέλεσμα να μολύνονται το νερό και το έδαφος. Γι’ αυτό και η Ευρωπαϊκή Ένωση θέλει να αντικατασταθούν. Οι ασθενείς που θέλουν να αφαιρέσουν τα μαύρα σφραγίσματα μπορούν να το κάνουν οπότε θέλουν, αφού πολλοί είναι αυτοί που για αισθητικούς λογούς, τα αντικαθιστούν με τα λευκά.

Πότε πρέπει να αντικατασταθεί;

Παρόλα αυτά, δεν τίθεται θέμα υγείας, παρά μόνο αν παρουσιαστεί επανατερηδονισμός ή κάταγμα δοντιού.

«Αν μία έμφραξη αμαλγάματος είναι ανατομικά ακέραια, δεν προκαλεί συμπτώματα και ευαισθησίες στα δόντια. Επιπλέον, δεν κατακρατεί τροφές στο μεσοδόντιο διάστημα. Τότε, δεν υπάρχει κανένας λόγος αντικατάστασής της.

Όταν το μαύρο σφράγισμα είναι «ταλαιπωρημένο», έχει υποστεί ρωγμές, έχει αποκολληθεί από τους οδοντικούς ιστούς ή το δόντι εμφανίζει ευαισθησία στο ζεστό- κρύο, πρέπει να προχωρήσουμε σε αντικατάσταση».

Τονίζει ότι:

«Συγκεκριμένα, σε ειδικούς ασθενείς. Σε ασθενείς με προβλήματα συμπεριφοράς που δεν μπορούν να ακολουθήσουν τις οδηγίες του οδοντιάτρου την ώρα της θεραπείας. Σε θεραπείες υπό γενική αναισθησία προτιμάμε να τοποθετήσουμε εμφράξεις αμαλγάματος για την επίτευξη ενός ασφαλούς και ικανοποιητικού αποτελέσματος.

Δείτε ακόμα Παίρνεις αντιβίωση; Δες τα 4 πράγματα που δεν πρέπει να κάνεις!

 Ποια επικίνδυνη ουσία περιέχουν;

Στα δύσκολα σφραγίσματα. Όταν είναι δύσκολη η επίτευξη στεγνού περιβάλλοντος στο στόμα προτιμάμε τα μαύρα σφραγίσματα. Αυτό γίνεται για καλύτερη διατήρηση του αποτελέσματος»

Επίσης, ξεκαθαρίζει ότι η ρητίνη είναι πιο «ευαίσθητο» υλικό. Αν ο οδοντίατρος έχει έναν ασθενή που δεν συνεργάζεται είναι πολύ πιθανό το λευκό σφράγισμα να ξεκολλήσει. Τότε, ο ασθενής θα αναγκαστεί να κλείνει ξανά ραντεβού με τον οδοντίατρό του.

Αξίζει να σημειωθεί, ότι σύμφωνα με τον κανονισμό της Ευρωπαϊκής Ένωσης, οι εμφράξεις οδοντιατρικού αμαλγάματος πρέπει πλέον να αποφεύγονται σε νεογιλά δόντια.

Δηλαδή, σε παιδιά κάτω των 15 ετών, σε έγκυες ή θηλάζουσες γυναίκες. Εκτός εάν για κάποιο λόγο, όπως προαναφέραμε, κρίνεται αναγκαία η τοποθέτησή τους από τον οδοντίατρο.

Πότε το οδοντιατρικό αμάλγαμα είναι προτιμότερο;

Η απαγόρευση της χρήσης του οδοντιατρικού αμαλγάματος σε παιδιά κάτω των 15 ετών πρέπει να ερμηνευθεί ως μία υπόθεση ότι τα παιδιά κάτω των 15 ετών έχουν μικρές τερηδονικές βλάβες και κατά συνέπεια απαιτούνται μικρές εμφράξεις.

Aποτελεί ήδη βέλτιστη πρακτική για τους οδοντιάτρους να ακολουθούν μιαν ελάχιστα παρεμβατική προσέγγιση στις μικρές κοιλότητες, για τις οποίες, άλλωστε, τα διαθέσιμα υλικά εξελίσσονται διαρκώς.

Ωστόσο, κάποια παιδιά κάτω των 15 ετών μπορεί να μην έχουν μικρές κοιλότητες ή να έχουν άλλες ιατρικές ή οδοντιατρικές ανάγκες που καθιστούν τα άλλα υλικά λιγότερο αποτελεσματικά.

Δείτε ακόμα Εγκεφαλικό: Μπορεί να προκληθεί από τραυματισμό, μασάζ στον αυχένα & απότομη στροφή κεφαλιού!

Ο Κανονισμός παρέχει στους οδοντιάτρους την ευκαιρία να εκτιμήσουν τις ατομικές ανάγκες του ασθενούς και να κάνουν χρήση του κατάλληλου/ενδεικνυόμενου υλικού αποκατάστασης σε μια δεδομένη περίσταση.

Kατά τη θεραπεία εγκύων γυναικών, ακολουθούμε την προσέγγιση που προβλέπεται από μια σειρά δημοσίων φορέων, στους οποίους περιλαμβάνεται και η SCENIHR (Scientific Committee on Emerging and Newly Identified Health Risks/Eπιστημονική Επιτροπή για τους ανακύπτοντες και τους πρόσφατα εντοπιζόμενους κινδύνους για την υγεία):

Τα μαύρα σφραγίσματα στα δόντια πρέπει να αντικατασταθούν! Ποια επικίνδυνη ουσία περιέχουν;

«Oπως συμβαίνει και με κάθε άλλη ιατρική ή φαρμακευτική παρέμβαση, θα πρέπει να υπάρχει αυξημένη προσοχή όταν μελετάται η τοποθέτηση οποιουδήποτε οδοντιατρικού υλικού αποκατάστασης σε έγκυες γυναίκες».

Αποτελεί τη βέλτιστη πρακτική να αναβάλουμε μια οδοντιατρική παρέμβαση για μετά την εγκυμοσύνη, εκτός εάν τούτο κρίνεται ιατρικά απαραίτητο από τον οδοντίατρο. Ο Κανονισμός επεκτείνει την αρχή αυτή και για τις γυναίκες που θηλάζουν.

Photo via: odontiatreio-smiles.gr