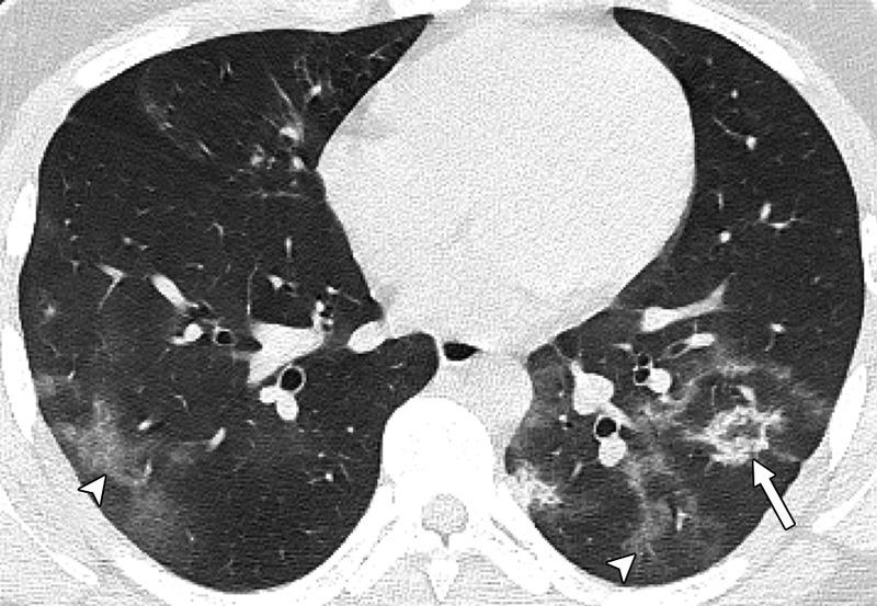
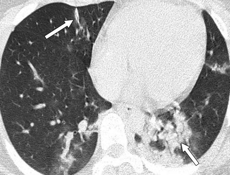
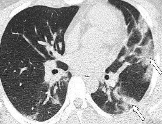
Εικόνες από Πνεύμονες παιδιών που νόσησαν με κορονοϊό .Συγκλονιστικές εικόνες από παιδιά που νόσησαν με κορονοϊό, ηλικίας 18 ετών, 15 ετών, 14 ετών και 8 ετών. Αξίζει να πούμε πως Κανένα από τα παιδιά δεν είχε υποκείμενα νοσήματα ή ανοσοκαταστολή.
Ο Γκίκας Μαγιορκίνης ,μέλος της επιτροπής των εμπειρογνωμόνων και επίκουρος καθηγητής στο Τμήμα Υγιεινής και Επιδημιολογίας της Ιατρικής Σχολής του ΕΚΠΑ , με μια ανάρτησή του παρουσιάζει τις σοκαριστικές βλάβες που έχει προκαλέσει ο κορονοϊός στους πνεύμονες παιδιών .
Αναλυτικά η ανάρτηση του
Εικόνες από Πνεύμονες παιδιών που νόσησαν με κορονοϊό
Μία εικόνα χίλιες λέξεις. Αξονικές τομογραφίες νέων κάτω από 18 έτη με Covid-19 (18 ετών, 15 ετών, 14 ετών και 8 ετών). Κανένας ασθενής δεν είχε υποκείμενα νοσήματα ή ανοσοκαταστολή. Οι ασθενείς δεν χρειάστηκαν συμπληρωματικό οξυγόνο, διασωλήνωση ή ΜΕΘ. Πρόκειται για απλά-κοινά περιστατικά Covid-19.

Δείτε ακόμη Τι είναι το μυκοπλάσμα πνευμονίας στα παιδιά και πόσο ύπουλο είναι να ανιχνευτεί. Η δική μας ιστορία!
Ωστόσο έχουν πολύ “εντυπωσιακές” βλάβες και είναι άγνωστο τι θα προκαλέσουν αυτές οι βλάβες σε βάθος χρόνου. Για την πλειονότητα του κόσμου το ερώτημα είναι απλό: Θέλουν να υποβάλουν τους πνεύμονές τους σε αυτές τις βλάβες για να δουν αν αντέχουν; Και αν αντέξουν την πρόκληση (όπως προβλέπεται ότι θα αντέξουν οι περισσότεροι νέοι) θέλουν να δουν πόσα χρόνια ή αντοχές έχασαν στην πορεία; Με το εμβόλιο προστατεύουμε τους πνεύμονές μας από βαρύτατη καταπόνηση!


Δείτε ακόμη Κορονοϊός: Τα παιδιά ξεκίνησαν να εμφανίζουν ψυχοσωματικά Παιδίατρος καταγγέλλει
