Ουρική αρθρίτιδα: Προσοχή σε 4 καθημερινά ροφήματα που αυξάνουν τον κίνδυνο

Εάν είχατε ποτέ ένα επεισόδιο ουρικής αρθρίτιδας, ξέρετε ότι είναι ένας πολύ επώδυνος τύπος αρθρίτιδας.

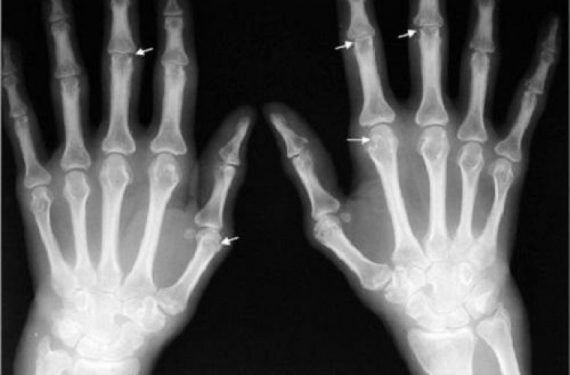
Η ουρική αρθρίτιδα προκαλείται από κρυστάλλους ουρικού οξέος που σχηματίζονται μέσα στις αρθρώσεις. Θα πρέπει επίσης να γνωρίζετε ότι ο κίνδυνος ουρικής αρθρίτιδας ανεβαίνει, όταν η διατροφή σας είναι πλούσια σε πουρίνες.

Οι πουρίνες βρίσκονται σε τροφές με υψηλή περιεκτικότητα σε πρωτεΐνες και βρίσκονται επίσης σε μερικά καθημερινά ποτά.

Δείτε ποια είναι αυτά:

Μπύρα Η μπύρα περιέχει μεγάλη ποσότητα πουρινών και έχει συνδεθεί επιστημονικά με συμπτώματα ουρικής αρθρίτιδας. Μια μελέτη έδειξε ότι οι ασθενείς που κατανάλωναν 350 ml μπύρας ημερησίως ήταν 1,5 φορές πιο πιθανό να έχουν ουρική αρθρίτιδα σε σύγκριση με εκείνους που δεν κατανάλωναν καθόλου μπύρα.

Αλκοόλ Παρά το γεγονός ότι η μπύρα είναι το χειρότερο ποτό για την ουρική αρθρίτιδα, οποιοδήποτε οινοπνευματώδες ποτό μπορεί να προκαλέσει συμπτώματα ουρικής αρθρίτιδας σε ανθρώπους που είναι επιρρεπείς στη νόσο. Το αλκοόλ αναγκάζει τα νεφρά να αποβάλλουν αλκοόλη αντί να για ουρικό οξύ. Αυτό αυξάνει την ποσότητα του ουρικού οξέος στο αίμα, η οποία θα μπορούσε να προκαλέσει μία επίθεση ουρικής αρθρίτιδας σε περίπου μία ή δύο ημέρες.

Δείτε περισσότερα στο apithano.gr