Κύστη στο νεφρό; Μία κύστη στο νεφρό είναι συνήθως καλοήθης και δεν εγκυμονεί κινδύνους για την υγεία. Εάν όμως αναπτυχθεί υπερβολικά ή εμφανίσει ύποπτα ευρήματα, χρήζει άμεσης ιατρικής αντιμετώπισης. Δείτε ποια είναι τα συμπτώματα, η διάγνωση και ποια η θεραπεία.

Πολύποδες χοληδόχου κύστης: Συμπτώματα και ο τρόπος αντιμετώπισης
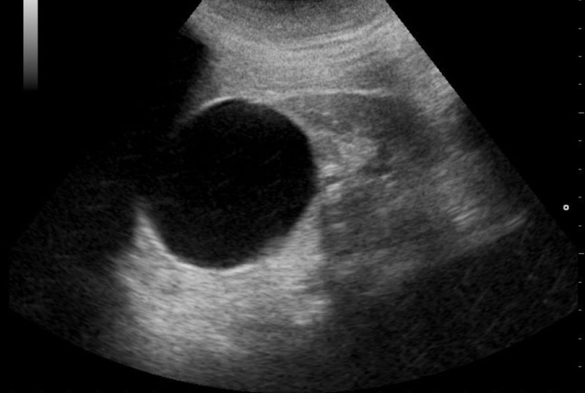
Τι είναι η κύστη στο νεφρό;
Η κύστη στο νεφρό είναι μια στρογγυλή θήκη με λείο ιστό και λεπτά τοιχώματα, η οποία συνήθως είναι γεμάτη με υγρό. Το υγρό που περιέχεται είναι διαυγές ή υποκίτρινο, εξηγεί ο Ανδρολόγος – Ουρολόγος Δρ. Α. Λέκας. Μπορεί να είναι μια ή περισσότερες και να εμφανιστούν στον ένα ή και στους 2 νεφρούς. Τις περισσότερες φορές είναι καλοήθης και η εμφάνισή της είναι αρκετά συχνή.
Όσον αφορά την ταξινόμηση των κύστεων, μπορεί να γίνει λόγος για μονήρη κύστη ή πολλαπλές κύστες. Επιπλέον, μια κύστη δύνανται να χαρακτηριστεί ως συγγενής, δηλαδή κάποιος να γεννήθηκε με αυτή όπως πχ σε ασθενείς με πολυκυστικούς νεφρούς, ή ως επίκτητη, δηλαδή να την εμφάνισε στην πορεία.
Η απλή κύστη στο νεφρό δεν πρέπει να σχετίζεται με την πολυκυστική νεφρική νόσο. Πρόκειται για μια κληρονομική νόσο που προκαλεί την ανάπτυξη μεγάλου αριθμού κύστεων στους νεφρούς.
9+1 Σημάδια που δείχνουν ότι τα νεφρά σου δεν λειτουργούν σωστά

Γιατί εμφανίζεται η κύστη στο νεφρό;
Η ακριβής αιτία που συντελεί στη δημιουργία της κύστης στο νεφρό, δεν είναι γνωστή ακόμα. Θεωρείται ότι μπορεί να δημιουργηθεί από μια απόφραξη στο σημείο που συλλέγονται τα ούρα. Παρόλα αυτά η ιατρική κοινότητα δεν έχει σαφή ευρήματα ή επαρκή θεμελίωση για τον ρόλο της κληρονομικότητας, ώστε να υποστηρίξει αδιαμφισβήτητα την αιτία εμφάνισης κύστης στο νεφρό.
Οι άνδρες είναι πιο πιθανό να την εμφανίσουν από τις γυναίκες. Και σχεδόν οι μισοί άνθρωποι ηλικίας 50 ετών και άνω, έχουν μία ή περισσότερες απλές κύστες στα νεφρά τους. Το μέγεθος αυτών των κύστεων μπορεί επίσης να αυξηθεί με την ηλικία και μπορεί να διπλασιαστεί σε διάστημα 10 ετών.
Κύστη στο νεφρό: Συμπτώματα
Η απλή κύστη στο νεφρό συνήθως δεν προκαλεί συμπτώματα, ούτε επηρεάζει τη λειτουργία των νεφρών. Στις περισσότερες περιπτώσεις, ο ιατρός θα βρει την κύστη σε τυχαίο απεικονιστικό έλεγχο, που γίνεται για άλλο λόγο. Ωστόσο, πιθανά συμπτώματα μιας μεγάλης κύστης, μπορεί να περιλαμβάνουν:
Πόνος στο πλάι, στην πλάτη ή στο πάνω μέρος της κοιλιάς, εάν μεγεθύνονται και πιέζουν άλλα όργανα Πυρετό, ρίγη ή άλλα σημάδια μόλυνσης Αίμα στα ούρα (αιματουρία) Μπλοκαρισμένη ροή αίματος ή ούρων μέσω των νεφρών σας (σπανίως) Διαταραχή της νεφρικής λειτουργίας (σπανίως) Οι απλές κύστεις των νεφρών έχουν συσχετιστεί με υψηλή αρτηριακή πίεση, αλλά δεν είναι σαφές ποια είναι η σχέση μεταξύ των δύο.
Πέτρες στη χολή ή Χολολιθίαση: Γιατί οι μικρές είναι ποιο επικίνδυνές ποια τα συμπτώματα

Διάγνωση της κύστης στο νεφρό
Πραγματοποιείται μια κλινική εξέταση ώστε να αξιολογηθούν τα συμπτώματα, αφού πρωτίστως ληφθεί το ιστορικό του ασθενούς. Επιπλέον, εάν κρίνει απαραίτητο ο ιατρός, θα διενεργηθούν απεικονιστικές εξετάσεις, όπως το υπερηχογράφημα, η μαγνητική τομογραφία (MRI) και η αξονική τομογραφία (CT). Αιματολογικός έλεγχος μπορεί να πραγματοποιηθεί επίσης, ώστε να εξακριβωθεί πόσο καλά λειτουργούν οι νεφροί.
Κύστη στο νεφρό: Ποια είναι η θεραπεία;
Για την απλή κύστη στο νεφρό δεν χρειάζεται κάποια θεραπεία. Αρκεί η παρακολούθηση ανα περιόδους με υπερήχους. Στην περίπτωση που η κύστη είναι πολύ μεγάλη και δημιουργεί προβλήματα στον ασθενή, κρίνεται απαραίτητη η παρέμβαση. Προτιμάται η σκληροθεραπεία. Ο ιατρός τρυπά την κύστη με μια μακριά βελόνα που εισάγεται μέσω του δέρματος, χρησιμοποιώντας υπερήχους για καθοδήγηση.
Έπειτα, αφαιρεί το υγρό απο την κύστη και στη συνέχεια την γεμίζει με ένα αλκοολούχο διάλυμα. Αυτό προκαλεί τη σκλήρυνση του ιστού και μειώνει τις πιθανότητες να επανέλθει η κύστη.
Παγκρεατίτιδα (Οξεία): Πόσο επικίνδυνη είναι ποια τα συμπτώματα και ποια η θεραπεία
Σε ορισμένες περιπτώσεις, σύμφωνα με το lekas-urology.com η κύστη στο νεφρό ίσως επιστρέψει και ξαναγεμίσει με υγρό. Ο ιατρός μπορεί να συστήσει χειρουργική επέμβαση σε αυτή την περίπτωση, η οποία γίνεται λαπαροσκοπικά.